Grossesse triple évolutive tri-choriale tri-amniotique de 5 SA

La mise en évidence de la bande radio-opaque du dispositif médical chirurgical

La mise en évidence de la bande radio-opaque du dispositif médical chirurgical

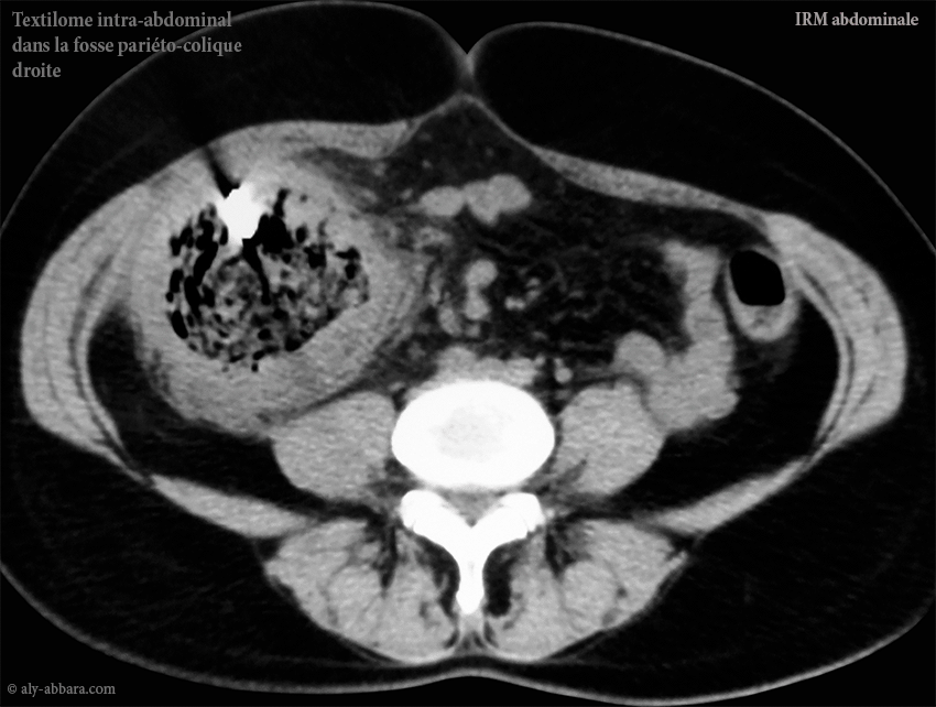
L'aspect par IRM du textilome dans la gouttière pariéto-colique droite
L'aspect par IRM du textilome dans la gouttière pariéto-colique droite

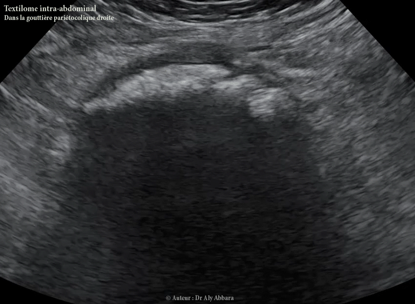
Textilome intra-abdominal occupant la gouttière pariéto-colique droite :

  • Ce textilome intra-abdominal a été mis en évidence quatre ans après la réalisation d'une césarienne dans un contexte inconnu (pas de compte rendu opératoire ; acte chirurgical effectué dans un pays étranger).

  • Cliniquement, la patiente se plaignait d'une douleur chronique localisée dans la région lombaire droite avec une accentuation récente motivant la réalisation d'une IRM abdominale ; cette dernière exploration met en évidence la présence d'un corps étranger occupant la gouttière pariéto-colique droite.

  • L'échographie abdominale et l'IRM (Imagerie par Résonance Magnétique) abdominale montrent que ce textilome de découverte tardive (par rapport la date de la réalisation de césarienne) est enveloppé par une épaisse coque de tissu inflammatoire organisé (granulome) ; cette coque est à l'origine de l'enfouissement du textilome qui devient invisible et impalpable lors du premier temps de l'exploration chirurgicale de la cavité abdominale ; donc pour l'extraire il faut préalablement (par imagerie) parfaitement le localiser et connaître ses rapports anatomiques aux organes avoisinants (dans le cas présenté dans cet article : il s'agit du cæcum, du côlon ascendant, de la paroi abdominale latérale droite, de l'épiploon et des anses grêles).

  • On remarque à l'échographie la constitution d'un cône d'ombre derrière la coque enveloppant le textilome, cette ombre est liée à l'épaisseur exagérée de cette coque inflammatoire (granulome).


  • Textilome ou « gossypiboma » :
  • L'autre nom de textilome (masse composée de textile) est également "gossypibom", un terme complexe composé :
    • du terme "gossypi- ou gossypium" du latin = coton (gossypĭnus, gossypion = cotonnier = arbre dont le fruit referme une sorte de coton) ;
    • et du terme " boma " de Swahili et qui signifie (dissimulation, cachette…)

  • Il s'agit d'un corps étranger textile oublié lors d’une intervention chirurgicale et induisant une réaction inflammatoire au contact des tissus avoisinants ; avec le temps cette réaction aboutit à la constitution d’un granulome inflammatoire sous forme de coque d'épaisseur variable en fonction de la durée de la rétention de ce corps étranger.

  • La fréquence de textilome, selon la littérature médicale, est de l'ordre de 1/1 000 à 1/10 000.

  • Les textilomes intra-péritonéaux représentent (52 %) de l'ensemble des textilomes découverts en post-opératoire.

  • La découverte de textilome est souvent tardive parfois fortuite en post mortem.

  • Le temps moyen s’écoulant entre l’intervention et la découverte d’un textilome est de l'ordre de 6,9 ans.

  • Le textilome évolue souvent de façon silencieuse ou trompeuse qui ne se manifestent qu'après un certain temps : douleurs chroniques et parfois paroxystiques ou dans un tableau de syndrome tumoral (syndrome de masse) ; des syndromes pré-occlusifs ; d'autres complications (abcès localisé, péritonite, fistules digestives…).

  • Radiologiquement, le cliché d'abdomen sans préparation est peu contributif sauf quand il s'agit d'un corps étranger marqué, partiellement radio-opaque afin de faciliter sa détection sur les radiographies standard et les images de scanner.

  • L'imagerie de type tomodensitométrie et l'IRM sont plus contributives pour diagnostiquer cette pathologie et ses éventuelles complications.
  • Références
    • Le Neel JC,et al Textilomes. A propos de 25 cas et revue de la littérature. Chirurgie 1994;120:272-7.
    • ISRAEL C. CHAMBI et al. Gauze-induced granuloma (gauzoma): an uncommon complication of gauze reinforcement of berry aneurysms. J Neurosurg 1990 ; 72 : 163-70
      GIANCARLO AV, et al Magnetic resonance image of post craniotomy retained cotton or rayon. J Neurosurg 1998 ; 88 : 928.
    • Kaiser CW, Friedman S, Spurling KP, Slowick T, Kaiser HA. The retained surgical sponge. Ann Surg 1996;224:79-84.
    • Saadi A, Bouzouita A, Kerkeni W, Ayed H, Ben Miled A,Cherif M, et al. Une masse abdominale. Rev Med Interne 2016,http://dx.doi.org/10.1016/j.revmed.2016.02.005.
      Zango B, Rizet D, Cabaniols L, Laffargue G. Textilome rénal à proposd’un cas. Afr J Urol 2005;11(1):66–8.
      Mavuduru RS, Paonam SS, Devana SK, Mittal A, Singh SK, MandalAK. Nephron sparing surgery for a renal mass: A rare surgical surprisein the era of advanced imaging. J Clin Case Rep 2015;5:477.
      Bhat HS, Mahesh G, Ramgopal KS. ‘Gossypiboma’: an unusual causeof perinephric abscess. J R Coll Surg Edinb 1997 Aug;42(4):2778.
      Dimitriadis GP, Prousalidis I, Tahmatzopoulos A, Radopoulos DC. Arare case of retroperitoneal gossypiboma mimicking renal tumor. Euro-pean J Radiol 2007;61:31–2.
      Dans la revue de littérature de Le Neel et al, l'exérèse du textilome aboutit certes à la guérison sans complication chez 70 patients (59,8%), mais les complications ont aggravé l’évolution de 25 malades (21,3%), et 22 patients sont décédés (18,9%).
      Le Néel JC, De Cussac JB, Dupas B, Letessier E, Borde L, Eloufir M, Armstrong O. Textiloma: à propos of 25 cases and review of the literature. Chirurgie. 1994-1995;120(5):272–6. discussion 276-7.

Auteur Dr Aly ABBARA
27 Avril, 2021

Contacter Dr Aly ABBARA
  Paris / France