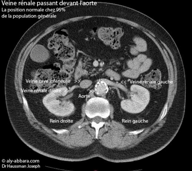
Veine rénale gauche en position antéro-aortique

Veine rénale gauche en position antéro-aortique
(Scanner abdominal chez un individu âgé de 50 ans)

Il s'agit de la position anatomique la plus fréquente de la veine rénale gauche (chez 95 % de la population générale).
Cette veine et en position rétro-aortique chez 5 % de la population générale.

Imagerie et diagnostic réalisés par Dr Haussman Joseph. Extraction des images,
légendes, animation et publication par Dr Aly Abbara.

Atlas d'échographie
www.aly-abbara.com
Paris / France