Aspect échographique de l'insertion du cordon ombilical sur la paroi abdominale foetale

Trajet et état de circulation de la veine ombilicale in utero

 


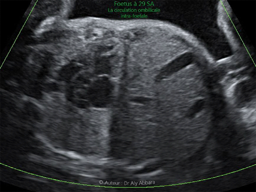
Images échographiques réalisées à 29 SA montrant un cordon ombilical d'aspect normal au niveau de son insertion au pôle fœtal et également montre la normalité de la circulation ombilicale intra-foetale.

Ce foetus qui ne présente pas d'anomalie morphologique ou biométrique à 29 SA sera la victime d'une mort fœtale in utero à 37 SA, avec une seule étiologie retrouvée : sténose et torsion du cordon ombilical à son extrémité fœtale.


Auteur Dr Aly ABBARA
19 Décembre, 2020

Contacter Dr Aly ABBARA
  Paris / France