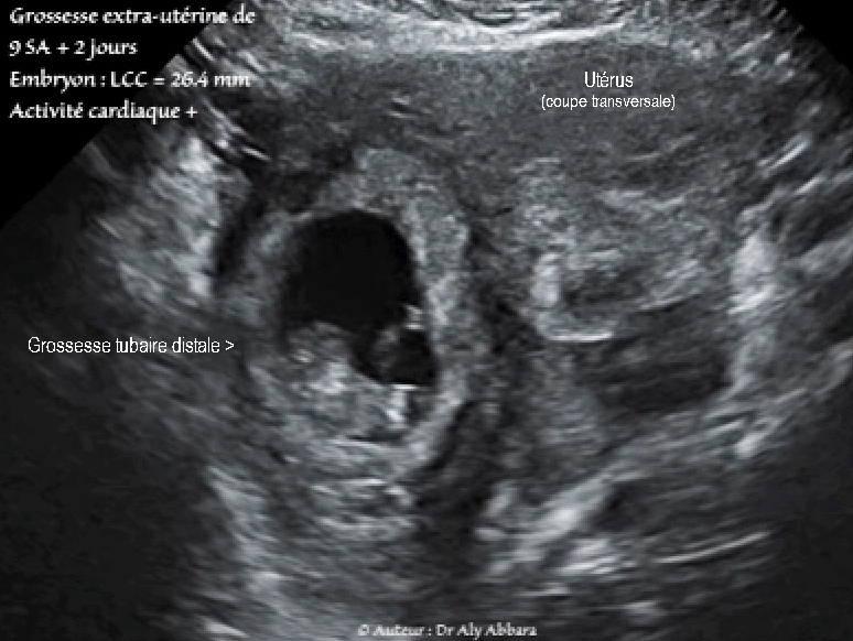
Grossesse extra-utérine tubaire distale évolutive âgée de 9 SA et 2 jours : activité cardiaque positive ; mouvements actifs positifs ; longueur craniocaudale égale à 26,4 mm - coupe transverse de l'utérus

Grossesse extra-utérine tubaire distale évolutive âgée de 9 SA et 2 jours : activité cardiaque positive ; mouvements actifs positifs ; longueur craniocaudale égale à 26,4 mm - coupe transverse de l'utérus

  • Séquences vidéos (type *.GIF) d'une exploration échographique par voie transpariétale (coupe transverse de l'utérus) mettant en évidence la présence d'une grossesse extra-utérine tubaire distale évolutive âgée de 9 SA et 2 jours :

  • Sur d'autres coupes, on observe la présence d'un important épanchement intra-péritonéal atteignant l'espace de Morison. En per-opératoire, cette hémorragie intra-péritonéale a été évaluée à 1 300 ml.

    Il s'agissait d'une grossesse extra-utérine tubaire droite en voie d'expulsion par un avortement tubo-abdominal.

  • Ce sac gestationnel ectopique tubaire droit est associé à un tableau clinique caractérisé par la présence d'une douleur pelvienne intense et constante, sans métrorragie.

  • Biologie : le dosage de β-hCG plasmatique était égal à 4 800 UI/l.

  • Voir également :

 

 Site : Dr Aly Abbara
Mise à jour : le 11 Avril, 2023
 

aly-abbara.com
Paris / France