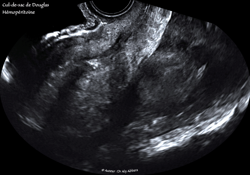
Hémopéritoine inondant le petit pelvis
Hémopéritoine inondant le petit pelvis


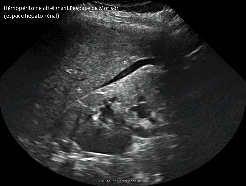
Hémopéritoine atteignant l'espace de Morison
Hémopéritoine atteignant l'espace de Morison (espace hépato-rénal)

  • Images échographiques animées montrant un hémopéritoine inondant la cavité abdominale ; il est visible sur ces images au niveau du petit pelvis et au niveau de l'espace de Morison.

  • En per-opératoire cette hémorragie intra-abdominale est estimée à 1 300 ml du sang ; elle est provoquée par une grossesse extra-utérine tubaire distale évolutive âgée de 9 SA et 2 jours en cours d'expulsion par un avortement tubo-abdominal.


 

Auteur : Dr Aly Abbara
Mise à jour : le 11 Avril, 2023
 

aly-abbara.com
Paris / France