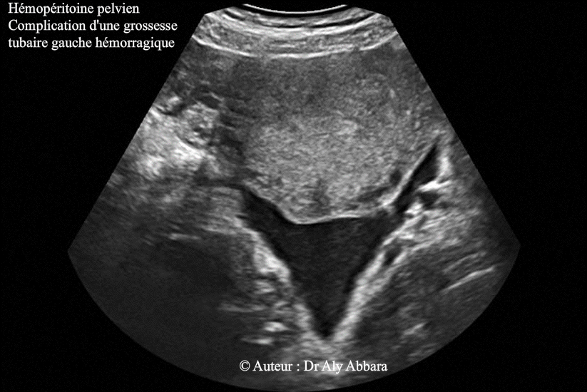
- Images échographiques montrant un hémopéritoine pelvien mis en évidence sur une coupe transverse et sagittale médiane de l'utérus ; il s'agit d'une hémorragie intra-abdominale étendue jusqu'à l'espace péri-hépatique (l'espace de Morison ou l'espace interhépatorénal) et due à présence, chez la patiente, d'une grossesse extra-utérine tubaire distale hémorragique.
Le dosage de β-hCG plasmatique était égal à 2400 UI/l.
L'images cœlioscopiques correspondant

|