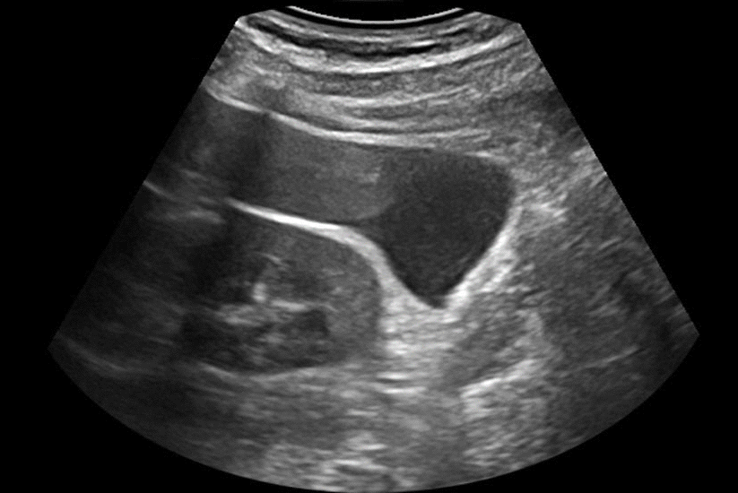
Images échographiques montrant un hémopéritoine pelvien mis en évidence sur une coupe transeverse et sagittale médiane de l'utérus ; il s'agit d'une hémorragie intra-abdominale étendue jusqu'à l'espace périhépatique (
l'espace de Morison
ou
l'espace interhépatorénal
) et due à présence, chez la patiente, d'une
grossesse extra-utérine tubaire distale hémorragique
.
Le dosage de
β-hCG
plasmatique était égal à 2400 UI/l.
L'images cœlioscopiques correspondant
Auteur : Dr Aly Abbara
Mise à jour : le 15 Novembre, 2020
Livre de Gynécologie
Atlas d'échographie
Médecine fœtale
aly-abbara.com
Paris / France