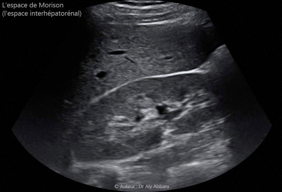
Espace de Morison (espace inter-hépato-rénal) normal


Images échographiques montrant l'aspect échographique normal de l'espace de Morison (ou l'espace interhépatorénal droit ; cet espace est normalement virtuel (aucun épanchement l'occupe comme c'est le sur ces images).

Le fait de constater la présence d'un épanchement liquidien (surtout du sang) dans l'espace de Morison est un signale d'alarme indiquant qu'il existe un hémopéritoine intra-péritonéale important, à prendre en charge très rapidement.

L'exploration de l'espace de Morison est impérative en Gynécologie & Obstétrique devant toute urgence pouvant se compliquer d'une hémorragie intrapéritonéale : grossesse ectopique (extra-utérine) ; rupture d'un kyste ovarien ; une douleur abdominale aigue ; une douleur abdominale post-coïtale ; un traumatisme abdominal ; une rupture utérine ; une complication hémorragique intrapéritonéale post-opératoire (post césarienne, ou post toute chirurgie intra-abdominale par laparotomie, par voie vaginale ou par voie cœlioscopique).


Auteur Dr Aly ABBARA
15 Novembre, 2020

Contacter Dr Aly ABBARA
  Paris / France