1
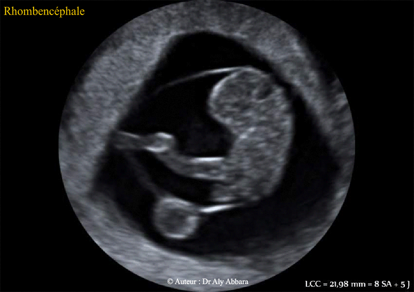
Cerveau embryonnaire - coupe échographique sagittale médiane - embryon âgé de 8 SA + 5 jours :
Analyse des éléments formant la
fosse rhombencéphalique (ou courbure pontique)
et leur futur
développement
Voir aussi :
Le développement de la fosse rhombencéphalique entre 7 SA et 6 jours et 9 SA et 3 jours
Cerveau embryonnaire - embryon âgé de 6 SA + 5 jours
Cerveau embryonnaire - embryon âgé de 7 SA + 5 jours
Cerveau embryonnaire - embryon âgé de 8 SA + 1 jours
Cerveau embryonnaire - embryon âgé de 8 SA + 5 jours (LCC = 21 mm)
Echographie 2D
Cerveau embryonnaire - coupe échographique sagittale médiane
Cerveau embryonnaire - balayage échographique sagittal
Echographie 3 D
Cerveau embryonnaire - balayage axial
Cerveau embryonnaire - balayage coronal
Cerveau embryonnaire - balayage sagittal
Les éléments anatomiques issus du rhombencéphale à 12 SA et 2 jours (coupe sagittale médiane)
Les éléments anatomiques issus du rhombencéphale à 12 SA et 2 jours (coupe axiale)
Développement embryologique du cerveau
Le cerveau embryonnaire au cours de 7° SA (stade des 5 vésicules)
Composition du cerveau fœtal vers le fin de la 12° SA
Auteur : Dr Aly Abbara
Mise à jour : le 11 Décembre, 2020
Livre de Gynécologie
Atlas d'échographie
Médecine fœtale
aly-abbara.com
Paris / France