 |
|

|
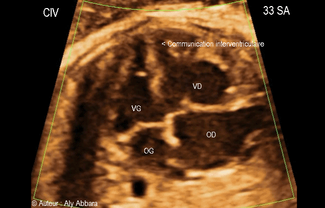
Vidéo et image animée échographiques cardiaques avec Doppler-couleur montrant une malformation cardiaque congénitale isolée ; il s'agit d'une communication interventriculaire (CIV) musculaire, trabéculée et apicale.
Cette CIV musculaire apicale est de moins de 3 mm de largeur, située à l'extrême pointe de ventricule gauche, isolée, sans autre anomalie morphologique ou fonctionnelle cardiaque décelée lors de cette examen.
Le Doppler couleur montre un flux sanguin bidirectionnel sur cette communication interventriculaire apicale.
Ce type de CIV est bien toléré à la naissance et la tolérance à distance va dépendre de leur taille et des possibilités de restriction spontanée sont très fréquents dans ces localisations.
Fœtus âgé de 33 SA.
Voir : même CIV en échographie avec Doppler-couleur.
Le compte rendu détaillé d'un spécialise en échocardiographie fœtale (Dr Laurence Cohen) est le suivant :
« Pas d'épanchement péricardique.
Rythme cardiaque régulier, avec liaison auriculo-ventriculaire 1/1 à 145 bpm.
Situs normal lévocardie.
Aorte descendante à gauche du rachis.
Au moins deux veines pulmonaires à l'oreillette gauche (sinus veineux pulmonaire bien vu).
Veines caves supérieure et inférieure à l'oreillette droite.
Sinus coronaire de taille normale.
Deux oreillettes équilibrées.
Zone de CAV bien vue.
Membrane de vieussens bombant largement dans l'oreillette gauche.
Deux valves auriculo-ventriculaires concordantes, d'ouverture diastolique normale et de diamètre égale (11 mm - 11 mm).
Décalage mitri-tricuspide identifié.
Continuité mitro-aortique et septo-aortique constaté.
Concordance ventriculo-artérielle.
Ventricule gauche de taille et de cinétique normale.
On voit bien une CIV musculaire apicale de moins de 3 mm à l'extrême pointe de ventricule gauche.
L'anneau aortique est de taille normale (6 mm) pour le terme.
Les sigmoïdes aortiques sont fines, souples et s'appliquent normalement à la paroi aortique.
La crosse aortique est complète, sans hypoplasie.
Ventricule droit de taille normale.
Le ventricule droit donne l'artère pulmonaire en discontinuité, avec la tricuspide.
L'anneau pulmonaire est de taille normale (9 mm) pour le terme, ses sigmoïdes sont fines. Deux branches de l’artère pulmonaire sont bien vues et large canal artériel.
Doppler pulsé, continu, couleur :
Pas d'anomalie des flux valvulaires. Flux bidirectionnel sur la communication interventriculaire apicale. Pas de restriction des shunts fœtaux. Flux antérograde dans les crosses du canal artériel et de l'aorte transverse ».
|
Les communications interventriculaires (CIV) (ventricular septal defect - VSD) :
Fréquence : 12/10 000 naissances vivants en tant que malformation isolée.
Les CIV représentent les malformations cardiaques les plus fréquentes à la naissance (25 % des toutes les anomalies cardiaques trouvées chez les enfants nés vivants)
Le septum interventriculaire (SIV), embryologiquement résulte de la fusion de trois ébauches : ébauche septale primitif apparaissant dans le ventricule primitif ; ébauche septale apparaissant dans la région auriculo-ventriculaire par l'intermédiaire des bourgeons endocardiques ; ébauche septale apparaissant dans la région des gros vaisseaux par l'intermédiaire du septum conal.
Ces trois ébauches septales fusionnent ensemble dans une zone appelé le septum membraneux.
Cette origine embryologique diverse du septum interventriculaire (SIV) explique sa composition anatomique en quatre secteurs : septum membraneux ; septum musculaire trabéculé ; septum d'admission (inlet septum) ; septum d'éjection (septum conoventriculaire ou outlet septum).
Les communications interventriculaires (CIV) sont des défauts de la fermeture observables au niveau d'un des quatre secteurs du septum interventriculaire (SIV) :
- 1- Le septum interventriculaire (SIV) à l'admission (inlet septum) (à l'arrivée du sang dans les ventricules) ; il est composé de l'anneau fibreux central des valves auriculo-ventriculaires (mitrale et tricuspide).
- Les CIV d'admission (VSD inlet) s'intègrent souvent dans l'entité malformative " Canal atrio-ventriculaire " ; elles sont également appelées : " CIV postérieures " et " CIV du septum atrio-ventriculaire ".
- La CIV d'admission se situe dans la partie septale qui se trouve en arrière de la valve tricuspide et en position postéro-inférieure par rapport au septum membraneux.
- Les CIV d'admission résultent de l'absence de fusion des bourrelets endocardiques supérieur et inférieurs (défaut de la formation du septum atrio-ventriculaire).
- La fréquence des CIV d'admission (du VSD inlet) est de l'ordre de 5 à 8 % des CIV ; elles sont représentées surtout par les canaux atrio-ventriculaires.
- 2- Le septum membraneux (SM).
- Il faut distinguer entre deux entités de CIV touchant le septum membraneux :
- Les CIV strictement membraneuses :
- Elles
résultent de l'absence de fusion du septum musculaire avec le septum membraneux.
Les CIV membraneuses sont strictement confinées au septum membraneux ; elles sont très rares car elles ne sont caractéristiques d'aucun groupe des cardiopathies congénitales
- Les CIV péri-membraneuses :
- Appelées également " CIV conoventriculaires "
- Elles se situent dans la région d'éjection du ventricule gauche, sous la valve aortique.
- Selon l'étendue du defect du septum interventriculaire membraneux vers les secteurs avoisinants, les CIV périmembraneuses sont subdivisées en trois subclasses :
- CIV périmembraneuses d'admission (ventricular septal defect "VSD" perimembranous inlet) : d'aspect pointu ; elles font partie du spectre du canal atrio-ventriculaire (CAT).
- CIV périmembraneuses d'éjection (ventricular septal defect "VSD" perimembranous outlet)
- CIV périmembraneuses musculaires (ventricular septal defect "VSD" perimembranous muscular) : elles sont des CIV étendues vers le septum musculaire ou trabéculé.
Les deux dernières sous classes
sont constantes dans les cardiopathies cono-truncales (CCT) comme la tétralogie du Fallot.
- La fréquence des CIV périmembraneuses est de l'ordre de 70 à 80 % des CIV ; elles sont représentées surtout par la tétralogie de Fallot et le " Ventricule droit à double issue "VDDI" = Double outlet right ventricule - DORV".
- Dans la tétralogie de Fallot, la CIV périmembraneuse sous-aortique est due à un défaut primaire d'alignement entre le septum interventriculaire musculaire et les orifices de départ de l'aorte et du tronc pulmonaire. Cette CIV périmembraneuse, sous-aortique est bien visible sur la coupe échographique des 4 cavités passant par l'aorte (appelée également la coupe des 5 cavités).
- 3- Le septum interventriculaire (SIV) musculaire trabéculé
- Les CIV musculaires (du SIV musculaire trabéculé) sont entourée de toute part par du
tissu musculaire.
- Appelées également " CIV trabéculaires "
- Localisations : apicales, mid-musculaires (centreales - midmuscular),
antérieures, marginales antérieures, marginales postérieures et parfois multiples (fromage de gruyère ou septum en fromage Suisse).
- Les CIV musculaires résultent de la perforation exagérée du septum musculaire interventriculaire au cours du développement fœtal.
- Les CIV musculaires se caractérisent par la possibilité de
fermeture spontanée.
- La fréquence des CIV musculaires est de l'ordre de 5 à 20 % des CIV.
- 4- Le septum conal (du truncus) ou le septum conoventriculaire ou encore le septum infundibulaire (le septum interventriculaire situé au niveau de l'éjection ventriculaire ou enfin, outlet septum)
- Les CIV du septum conal sont appelées les CIV conoventriculaires ; infundibulaires ; sous artérielles ; subpulmonaires.
- Elles
sont dues au mal alignement entre le septum conoventriculaire et le septum interventriculaire primitif avec l'absence de septum inter-ventriculaire en
sous-aortique et sous-pulmonaire créant une
discontinuité aortico-pulmonaire.
- Les CIV conoventriculaires résultent de la déficience du développement de la partie proximale des bourrelets aortico-pulmonaire.
- Le défaut se situe dans la région de sortie du ventricule droit, immédiatement au dessous la valve pulmonaire. En anatomopathologie sont visibles à l’examen du secteur septal de l'éjection droite
- La fréquence des CIV conoventriculaires est de l'ordre de 5 à 7 % des CIV ; elles sont représentées surtout par le tronc artériel commun (truncus arteriosus communis).
- En échocardiographie fœtale :
- La coupe des 4 cavités cardiaques :
- Elle montre :
- une grande partie du septum musculaire en commençant par de son origine apicale
- le septum d'admission
- Elle permet de mettre en évidence :
- Les CIV musculaires (trabéculaires) qui se trouvent dans ce secteur
- Les CIV d'admission (inlet VSD = inlet ventricular septal defect) associées ou non à un canal atrio-ventriculaire.
- La coupe de 4 cavités cardiaques passant par l'aorte (= la coupe des 5 cavités) :
- Elle montre :
- une grande partie du septum musculaire en commençant par de son origine apicale
- le septum périmembraneux
- La continuité septo-aortique (alignement entre le septum et le bord antérieur de l'aorte)
- Elle permet de mettre en évidence :
- Les CIV musculaires qui se trouvent dans ce secteur
- Les CIV périmembraneuses sous forme d'une perte de continuité septo-aortique :
- Avec alignement septo aortique conservé : CIV périmembraneuse.
- Avec un mal alignement septo aortique (aorte à cheval sur le SIV musculaire) : CIV conoventriculaires
- La perte de continuité septo-aortique avec :
- Voie pulmonaire normale : cela correspond à CIV sous aortique isolée, de bon pronostic.
- Voie pulmonaire hypoplasique, mais perméable, et aorte à cheval sur les SIV : cela évoque le diagnostic de tétralogie de Fallot.
- Voie pulmonaire très hypoplasique, sans flux sanguin antérograde : il s'agit d'une atrésie pulmonaire à septum ouvert.
- Voie pulmonaire (tronc pulmonaire) absente : il s'agit d'un tronc artériel commun.
- Voie pulmonaire très dilatée et flux pulmonaire à double sens : cela évoque le diagnostic d'agénésie des valves pulmonaires.
- La perte de continuité septo-aortique (= présence d'une CIV), associée à la perte de continuité septo-mitrale évoque le diagnostic de ventricule droit à double issue (VDDI).
- Les petites CIV musculaires isolées et visibles uniquement au Doppler sont sans signification génétique et ne nécessitent pas d'explorations complémentaires.
- Les autres CIV musculaires et les CIV non conoventriculaires nécessitent une étude du caryotype fœtal standard. Une CIV périmembraneuse peut être la seule malformation cardiaque s'un trisomie 21.
La CIV d'admission avec l'insertion linéaire des auriculo-ventriculaires, c'est-à-dire, l'absence de décalage entre de l'insertion de la valve tricuspide et la valve mitrale (sur la coupe des 4 cavités cardiaques), est un fort signe d'appel en faveur d'une trisomie 21.
- Les CIV sous-aortiques périmenmbraneuse conoventriculaires (avec défaut d'alignement du septum conal) nécessitent une étude de caryotype fœtal standard et la recherche d'une microdélétion (del 22q1.1).
- Les CIV sous-pulmonaires (CIV du septum conal) sont rares en Europe, mais fréquentes chez les populations de l'Extrême-Orient.
|
Références :
1- Paula J. Woodward, Anne Kennedy, Karen Y. Oh, Michael D. Puchalski, Thomas C. Winter, Logan A. McLean. Diagnostic Imaging Obstetrics. AMIRSYS, 2ème édition 2011. 6:34-35.
2- Loïc Sentilhes, Dominique Bonneau. Le diagnostic prénatal en pratique. Elsevier Masson 2011. p;162-165.
3- Bertrand Stos. Dans le livre : " Le cœur foetal " sous la direction de Jean-Marie Jouannic et Damien Bonnet0 sauramps médical.2011. p:235-239.
4- Alfred Abuhamad, Rabih Chaoui. "A practical Guide to fetal echocardiography" Wolters Kluwer, Lippincott, Williams & Wilkins 2010. p:210-219.
5- Pathologie fœtale et placentaire pratique. Ouvrage collection de la société français de foetopathologie (SOFFOET). sauramps médical 2008. p:76.
6- William J. Larsen. Embryologie humaine. de boeck, 2ème édition française 2007. p:183-185.
|
|
Auteur Dr Aly ABBARA
5 Novembre, 2017
Le cas de CIV musculaire présenté dans cet article a été découvert lors de l'échographie du 3ème trimestre
réalisée
par : Dr Dalkilic Serdar (CH. de Longjumeau - Essonne -France).
|
|
|
Paris / France
|