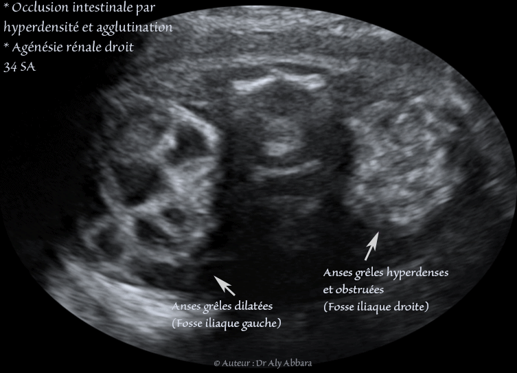
Magma d'anses grêles hyperdenses, agglutinées et obstructives : foetus de 34 SA

 


Images échographiques montrant une occlusion intestinale se manifestant par la dilatation des anses grêles et un hyperpéristaltisme.

Cette occlusion intestinale est liée à la présence, dans la fosse iliaque droite, comme on le voit sur ces images, d'un magma d'anses grêles hyperdenses, agglutinées et obstruées.
Ce magma digestif intestinal prend une forme triangulaire (pyramidale) sur la coupe frontale de l'abdomen centrée sur la fosse iliaque droite

L'estomac n'est pas dilaté (occlusion digestive basse), mais on note également l’existence de deux anomalies morphologiques associées :

* Une agénésie rénale unilatérale droite
* L'absence, au niveau de crosse de l'aorte, de sa 3ème branche, c'est-à-dire l'artère subclavière gauche.

Il s'agit d'une fœtus de 34 SA ; après sa naissance à 38 SA, cette occlusion des anses grêles a nécessité deux interventions chirurgicales digestives dans la période néonatale.

إنسداد الأمعاء الدقيقة عند جنين بعمر 34 أسبوع اِنقطاع طمث ؛ إنه عائد إلى وجود مجموعة من العرى المعوية الدقيقة المتلاحمة ببعضها البعض والمسدودة اللمعة بسبب الكثافة الشديدة لمحتوياتها المخاطية والإفرازية
هذا الاِنسداد المعوي غير مترافق بتوسع المعدة ولكنه متشارك مع عيبين خلقيين آخرين وهما : عدم تشكل خلقي للكلية اليمنى وغياب الشريان ماتحت الترقوي الأيسر على مستوى القوس الأبهرية


Auteur Dr Aly ABBARA
28 Octobre, 2015

Contacter Dr Aly ABBARA
  Paris / France