Veine ombilicale droite persistante - 34 SA - Images A

Veine ombilicale droite persistante - 34 SA - Images - Doppler
 

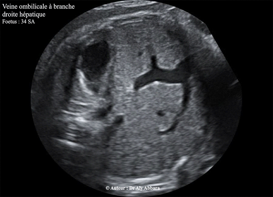
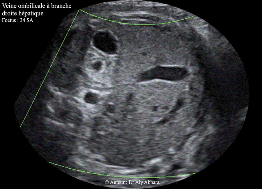
Images échographiques montrant une veine ombilicale gauche à branche droite intrahépatique.
(une variante de la persistance de la veine ombilicale droite ?).

Foetus de 34 SA ; aucune anomalie morphologique associée ; foetus eutrophe à la naissance.

Au cour de la 4e semaine de grossesse, le cœur commence à battre au jour 22, et le sang se met à circuler dans l'embryon au jour 24. A cet âge embryonnaire, deux veines provenant de la circulation funiculaire existent, il s'agit de la veines ombilicale droite et la veine ombilicale gauche, mais rapidement, la veine ombilicale droite disparaît, de telle sorte que :

Chez un embryon de 5 mm de longueur crânio-caudale (4 semaines de grossesse, soit 6 semaines d'aménorrhée), le cordon contient deux artères ombilicales (droite et gauche) et deux veines ombilicales (également droite et gauche).

Chez un embryon de 12 mm de longueur crânio-caudale (5 semaines et 3 jours de grossesse, soit 7 semaines et 3 jours d'aménorrhée), le cordon ne contient plus que les deux artères ombilicales et la veine ombilicale gauche car la veine ombilicale droite est involuée.

Donc la disparition de la portion terminale intra-abdominale de la veine ombilicale gauche et la totalité de la veine ombilicale droite au niveau du cordon ombilical et dans la cavité abdominale surviennent au cours de la vie embryonnaire, entre la 6e et la 7,5e semaines d’aménorrhée.


La persistance de la veine ombilicale droite (PRUV : persistent right umbilical vein) :

° Il s'agit de la non régression de la veine ombilicale droite ; quand ceci se produit, la veine ombilicale droite peut complètement substituer la veine ombilicale gauche, mais parfois toutes les deux veines peuvent coexister dans le cordon et dans la cavité abdominale

° Elle survient chez 1:526 foetus ou 1:476 grossesse (selon Benacerraf).

° Selon la localisation anatomique, il existe deux types de persistance de veine ombilicale droite (PVOD) :

  • I- Veine ombilicale droite persistante intrahépatique (82 % des cas) :
    Elle se situe à droite de la vésicule biliaire et déplace cette dernière vers la ligne médiane du corps et l'oriente transversalement.
    La concavité de la courbure de la VOD persistante est vers la gauche, vers l'estomac ; cela est à l'inverse de la veine ombilicale gauche ou la convexité de sa courbure est vers l'estomac.

    La veine ombilicale droite persistante pénètre dans le foie et se draine directement dans la veine porte droite plutôt que la veine porte gauche.

    Le canal (ductus) veineux est normal quand la veine ombilicale gauche coexiste.

    La veine ombilicale droite persistante intrahépatique est souvent isolée, sans d'autre anomalie associée.

    Persistance de la veine ombilicale droite : la concavité de la veine est vers la gauche

  1. Veine ombilicale droite persistante extrahépatique (18 % des cas) :
    Elle suit un trajet déviant le foie et le système portal pour se drainer directement dans la circulation systémique extrahépatique, souvent dans l'oreillette droite ou dans la veine cave inférieure. Le canal veineux peut être obstrué.

    Anomalies associées à la persistance de la veine ombilicale droite :
    Ce type de PVOD est souvent associé à d'autres anomalies congénitales en particulier les anomalies complexes cardiovasculaires, dysplasie rénale, hémivertèbre, régression caudale, fente labiale et palatine, et dans certaines anomalies génétiques comme le syndrome de Noonan et la trisomie 18. Le retard de croissance in utero (RCIU) peut être mis en évidence également dans certains cas.

  2. Il existe des variantes à la persistance de la veine ombilicale droite comme ces deux cas :
    a- Veine ombilicale gauche à branche droite intrahépatique
    (le cas présenté dans cette page)
    b- Veine ombilicale à deux branches droites, extrahépatique et intrahépatique
Références :
1- Wooddward, Kennedy, Sohaey, Byrne, Oh, Puchalski, Winter, MaLean. "Diagnostic imaging : Obstetrics ". Edition Amirsys, 2011. p10:56-57.
2- Beryl Benacerraf. "Ultrasound of Fetal syndromes". Churchill Livingstone Elsevier 2008. p:588.
3- Peter W. Callen. " Ultrasonography in Obstetrics and Gynecology ", 5° édition 2008. p:619.
4- J. Poirier, M. Catala, I. Poirier, J. Baudet. " Leçons d'embryologie humine " Maloine 2005. p:111.


Auteur Dr Aly ABBARA
27 Novembre, 2020

Contacter Dr Aly ABBARA
  Paris / France