Hernie-diaphragmatique mise en évidence à 13 SA et 14 jours dans un contexe polymalformatif
Coupe haute des trois vaisseaux et trachée
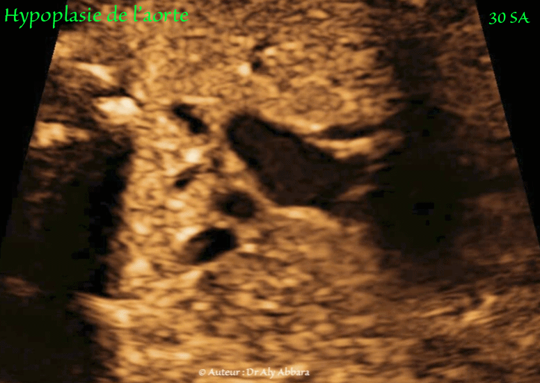
  • Images échographiques montrant des multiples signes échographiques liés à la présence d'une hypoplasie de l'aorte dans sa portion ascendante et horizontale.
    Foetus de SA :

    Coupe haute des trois vaisseaux et trachée montrant :

    • Hypoplasie de l'aorte ascendante et de crosse de l'aorte : elle est visible sur la coupe des trois vaisseaux et de la trachée :
      • le diamètre de l'aorte ascendant = 3,4 mm ;
      • le diamètre de l'aorte horizontale = 2,5 mm ;
      • à titre de comparaison, le diamètre du tronc pulmonaire = 8,5 mm.

    • Cette hypoplasie de l'aorte est associée à d'autres anomalies du cœur gauche :

      • Une asymétrie marquée entre le cœur gauche et droit avec :
        • diminution du volume du ventricule gauche comparé au ventricule droit ;
        • hypoplasie de la valve mitrale avec anneau mitral mesurant 5,7 mm, contre 12 mm pour l'anneau de la valve tricuspide.
        • anomalie de l'appareil sous valvulaire mitrale avec un seul pilier mitral visible ;
        • diminution du volume de l'oreillette gauche comparé à l'oreillette droite.

      • La valvule de Vieusens bat dans l'oreillette gauche (normal).
      • Le retour pulmonaire vers le l'oreillette gauche est normal : 4 veines pulmonaires sont identifiable.

      • Pas de defect du septum interventriculaire et interventriculaire.

      • Cette hypoplasie de l'aorte ascendante et horizontale peut se compliquer à la naissance par une coarctation de l'aorte.

  • Voir également :

Auteur Dr Aly ABBARA
7 Décembre, 2016

Contacter Dr Aly ABBARA
  Paris / France