Kyste splénique - grossesse de 31 SA

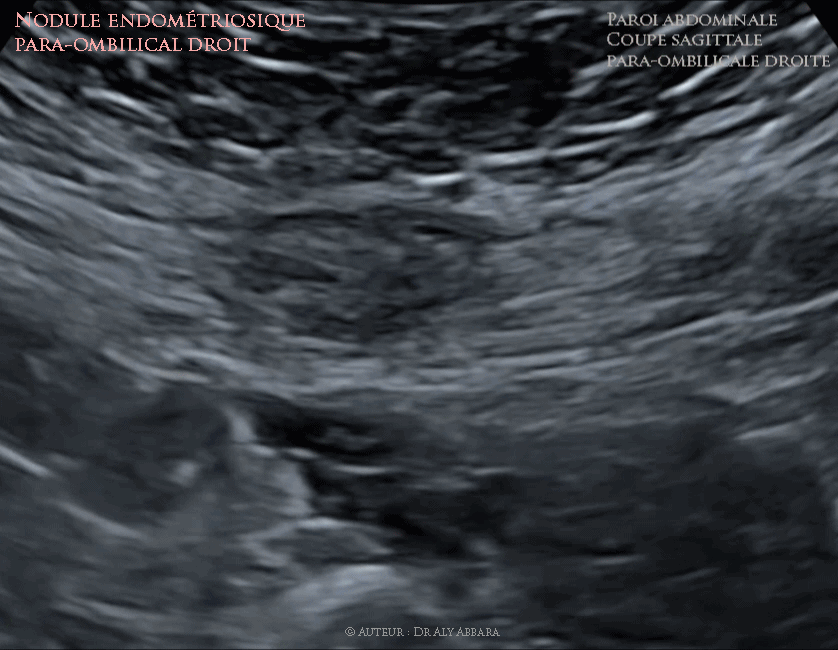
  • Images échographiques animées et séquences vidéo montrant la présence d'un foyer endométriosique intra-musculaire évoluant dans le muscle grand droit abdominal droit, dans la région para-ombilicale droite et distant horizontalement de 3 cm de l'ombilic.

  • Il s'agit d'un nodule hétéroéchogène (échogénicité inférieure à celle du muscle), à contours irréguliers, sans capsule périphérique et mesurant 14 x 26 x 33 mm (soit 6,4 cm3).
    Par rapport aux structures tissulaires avoisinantes, il est sous aponévrotique, sus-péritonéal et intra-musculaire et difficilement perceptible à la palpation de la paroi abdominale.

  • Ce nodule se manifestait cliniquement, depuis environ deux ans par une douleur bien localisée dans la région para-ombilicale droite (bien distant des anciennes cicatrices des césariennes) et survenant en début des règles puis persistant durant environ 15 jours, avec aggravation de ces phonèmes douloureux progressivement fur et à mesure de la survenue des cycles menstruels.

    Cette symptomatologie est apparue environ un an après sa troisième césarienne.

  • Il s'agit  d'une greffe de cellules endométriales dans le plan du décollement musculo-aponévrotique qui a été réalisé au cours de la troisième césarienne. C'est une localisation très rare de l’endométriose, parce que ce type de greffe endométriale se voit souvent au niveau de l'ancienne cicatrice de césarienne (incision transverse sus pubienne chez cette patiente).

  • La pièce opératoire mesure 4,1 x 4,2 x 2 cm et pesant 17 g.

    Elle est composée d'un tissu fibreux et musculaire strié associé à des filets nerveux, avec de nombreux glandes endométriales entourées par un chorion cytogène endométrial. Des zones de nécrose et d'hémorragies ont été retrouvées et également de nombreuses fibres musculaires dystrophiques. Pas d'éléments suspects.

    L’anatomo-pathologiste conclut en affirmant qu'il s'agit d'une localisation pariétale d'une endométriose stromale et glandulaire, avec des remaniements fibro-inflammatoires et hémorragiques.


Auteur Dr Aly ABBARA
30 Décembre, 2017

Contacter Dr Aly ABBARA
  Paris / France