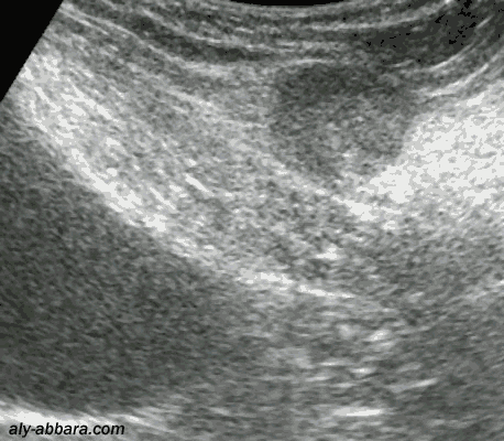
Noyau (de 25 x 20 mm) endométriosique localisé dans la paroi abdominale (sous-aponévrotique)
Il s'agit d'une localisation pariétale survenant suite à une césarienne réalisée deux ans auparavant
Il est à l'origine d'une douleur bien localisée, répétitive et cyclique, lors de chaque règles.




Voir également : cas 2 avec localisation endométriosique à distance de la cicatrice de césarienne

 
Atlas d'échographie
 


www.aly-abbara.com

Paris / France
MAJ : 27 Avril, 2023