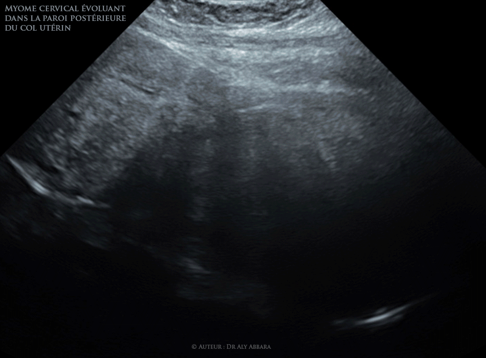
Fibrome cervical à développement endovaginal

Utérus : volumineux myome cervical compressif :

• Il s'agit d'un myome cervical évoluant dans la paroi postérieure du col utérin et occupant la cavité vaginale.

Ce volumineux myome (10.80 x 10,97 x 9.65 cm soit 535 g) a été mis en évidence chez une patiente âgée de 48 ans consultant pour métrorragie avec une anémie (hémoglobine à 7,6 g/dl), et surtout une rétention urinaire complète par compression de l'urètre et le col de la vessie.

Les données chirurgicales confirment la localisation et le poids (myomectomie totale par morcellement par voie vaginale).



Auteur Dr Aly ABBARA
21 Juin, 2018

Contacter Dr Aly ABBARA
  Paris / France