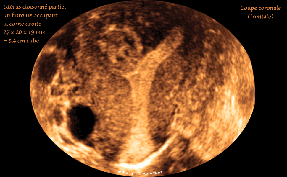
Utérus malformé, cloisonné partiellement, avec myome sous muqueux de classe 0 évoluant dans le compartiment droit de la cavité utérine

Utérus : utérus malformé cloisonné corporéal - myome endocavitaire dans la corne droite de la cavité utérine :

• Images échographiques montrant (sur des coupes sagittale, transverse et frontale) un utérus malformé, cloisonné corporéal partiel : cloison partiellement divisant la cavité du corps utérin en deux compartiments, droit et gauche.

Le compartiment droit de la cavité utérine fundique contient une masse ovale de 27 x 20 x 19 mm de diamètre, soit 5,4 cm3 de volume, il s'agit d'un vieux myome asymptomatique partiellement calcifié (histologiquement confirmé), sous muqueux (classe 0 selon le FIGO).


Auteur Dr Aly ABBARA
29 Avril, 2017

Contacter Dr Aly ABBARA
  Paris / France