Canal veineux et veines sus-hépatiques - Anatomie échographique
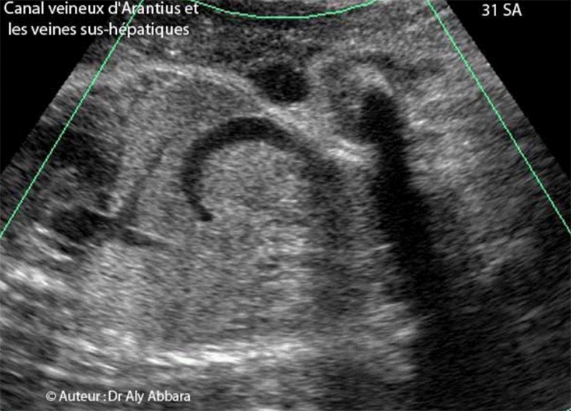
Image échographique montrant le canal veineux d'Arantius reliant la veine ombilicale à la partie terminale de la veine cave inférieure (pratiquement, directement à l'oreillette droite) puis deux des trois veines hépatiques (sus-hépatiques). L'image montre aussi la nécessité d'utiliser le Doppler couleur (ici, c'est le Dynamic-flow) pour mettre en évidence le canal veineux, étant invisible autrement.

Le spectre du Doppler de ses veines est différent, ce qui permet mieux les identifier.


  • L'origine embryologique du canal veineux et ses fonctions physiologiques :
    • Au cour de la 4e semaine de grossesse, le cœur commence à battre au jour 22, et le sang se met à circuler dans l'embryon au jour 24. A cet âge embryonnaire :
      • Le système veineux ramenant le sang vers le cœur (au niveau de son sinus veineux) est formé de trois paires de veines :
        • deux veines provenant de la circulation funiculaire, c'est-à-dire les veines ombilicales droite et gauche ;
        • deux veines provenant de la circulation vitelline, c'est-à-dire les veines vitellines droite et gauche ;
        • deux veines cardinales communes (droites et gauches). Chaque veine cardinale commune se forme par la jonction entre la veine cardinale antérieure (qui draine le pôle céphalo-thoracique ou "antérieur" de l'embryon) et la veine cardinale postérieure et homolatérale (qui draine le pôle abdomino-caudal ou "postérieure" de l'embryon).
        • Le sinus veineux du cœur est composé de deux cornes :
          • au niveau de la corne droite du sinus veineux débouchent (de droite à gauche) la veine cardinale commune droite, la veine ombilicale droite et la veine vitelline droite ;
          • au niveau de la corne gauche du sinus veineux débouchent (de gauche à droite) la veine cardinale commune gauche, la veine ombilicale gauche et la veine vitelline gauche.
          • le sinus veineux s'ouvre au centre de l'oreillette cardiaque primitive et à ce stade embryonnaire, les cornes droite et gauche du sinus veineux ont la même taille.

      • Les transformations que subissent les deux veines ombilicales :
        • la veine ombilicale droite disparaît ;
        • la partie de la veine ombilicale gauche située entre le foie et la corne gauche du sinus veineux dégénère ;
        • la partie persistant de la veine ombilicale gauche forme la classique veine ombilicale qui transporte vers le fœtus le sang provenant du placenta.
        • Un gros canal se développe pour raccorder la veine ombilicale gauche à la partie terminale de la veine cave inférieure, il s'agit du canal veineux (canal veineux d'Arantius ; ductus veineux ; ductus venosus).

      • Le rôle physiologique du canal veineux :
        • Le canal veineux permet à une partie du sang oxygéné provenant du placenta par l'intermédiaire de la veine ombilicale d'aller presque directement dans l'oreillette droite du cœur fœtal sans passer par le foie, puis par un flux préférentiel depuis depuis l'oreillette droite vers l'oreillette gauche à travers le foramen ovale, une grande partie de ce sang oxygéné est dirigé vers la circulation coronaire et cérébrale.
        • Grâce au canal veineux, presque 20 % du sang oxygéné provenant du placenta court-circuite le foie et se directement dans l'oreillette droite.
          jette

      • Interprétation :
        • Sur le spectre du Doppler du canal veineux, la distance séparant le notch (a) de la ligne de base (zéro) correspond au flux sanguin veineux persistant au cours de la systole auriculaire droite.
        • Normalement ce flux est toujours positif, et il est considéré comme pathologique quand il est nul ou négatif, c'est-à-dire si le fond du notch (a) revient au zéro ou quand il devient négatif " (ou inversé)" a(reverse flow).

        • L'insuffisance vasculaire utéro-placentaire et l'hypoxie fœtale secondaire peuvent se traduisent sur le Doppler du canal veineux par un notch (a) à zéro ou négatif (témoigne d'une insuffisance myocardique).

        • Au cours du premier trimestre de la grossesse, entre 11 et 13 SA, le notch (a) est normalement positif ou nul. Un notch négatif (inversé) est retrouvé chez 65 % des fœtus trisomiques 21 ; 55 % des fœtus trisomiques 18 ; 55 % des fœtus trisomiques 13 et seulement 3 % des fœtus euploïdes.
          Un notch (a) pathologique au premier trimestre de la grossesse peut aussi témoigner de la présence d'une anomalie cardiaque majeure.

Auteur : Dr Aly Abbara
Mise à jour : le 3 Décembre, 2020

  • Références :
    • WOODWARD. KENNEDY. SOHAEY. Oh. Byrne. Puchalski. -EXPERTddx Obstetrics - AMIRSYS 2009.
    • Bernard Guérin du Masgenët, Yann Robert, Philippe Bourgeot, Philippe Coquel Echographie en pratique obstétricale - Masson 2009.
    • BENACERRAF Beryl - Ultrasound of Fetal syndromes - second edition - CHURCHILL LIVINGSTONE ELSEVIER - 2008..
    • F. Encha-Razavi. - Pathologie foetale et placentaire - (Ouvrage collectif de la Société Française de Foetopathologie). Sauramps médical, 2008.
    • Lami Yeo, MD and Anthony M. Vintzileos, MD - Ultrasonography in obstetrics and Gynecology - CALLEN - 5e édition ; SAUNDERS ELSEVIER - 2008.
    • Larsen." Embryologie humain " 2ème édition française. de boecke. 2007. p:23;25
    • WOODWARD, Kennedy, Sohaey. - Diagnostic Imaging Obstetrics - AMIRSYS 2005.
    • Michael Entezami, Matthias Albig, Adam Gasiorek-Wiens, Rolf Becker. Ultrasound Diagnosis of Fetal Anomalies. Thiems 2004.Keith L. MOORE. "
    • L'être humain en développement " Vigot Frères Paris - 1974.

www.aly-abbara.com
Paris / France