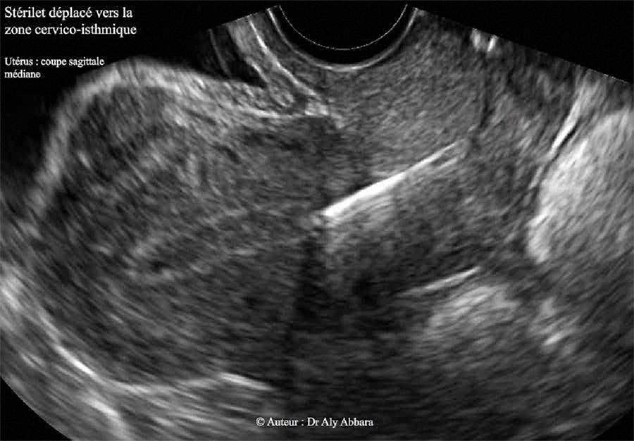
Dispositif intra-utérin (DIU) - déplacement vers la région isthmique de l'utérus

Image échographique montrant un dispositif intra-utérin (DIU- stérilet) au cuivre déplacé vers la zone cervico-isthmique de l'utérus. Ce déplacement a été mis en évidence lors d'un examen gynécologique effectué six mois après sa pose, sachant que le contrôle échographique réalisé immédiatement après la pose et 3 mois plus tard confirment la normalité de sa position dans la cavité utérine.

Ce déplacement du DIU (de type multiple-bras) est parfaitement asymptomatique ; le seul signe clinique évocateur est la longueur excessive de la portion vaginale du fil du stérilet (environ 5 cm).

Auteur : Dr Aly Abbara
Mise à jour : le 4 Décembre, 2020

www.aly-abbara.com
Paris / France