s Cordon ombilical normal, bi-artériel comparé au cordon à artère ombilicale unique
Artère ombilicale unique


L'aspect échographique et l'apport du Doppler dans le diagnostic du cordon ombilical normal, bi-artériel et du cordon à artère ombilicale unique

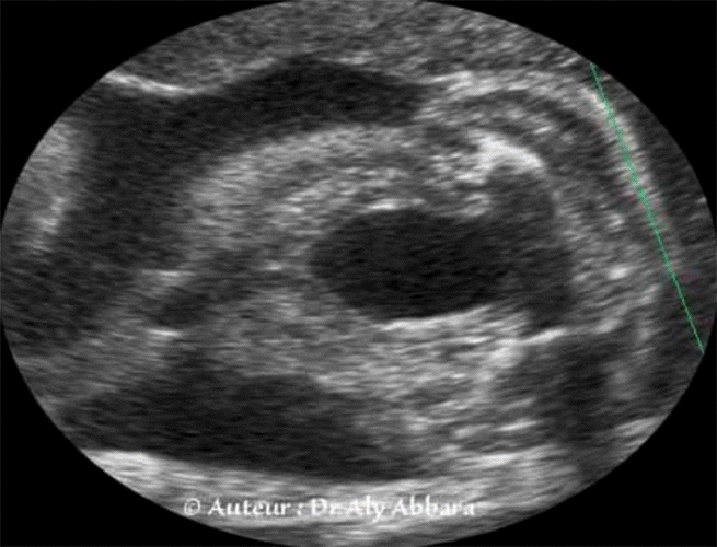
Série de coupes axiales centrées sur la vessie et montrant le trajet habituel des deux artères ombilicales (branches des artères iliaques internes) qui encerclent la vessie latéralement, puis elles rejoignent le cordon ombilical au niveau de l'ombilic.
Cette coupe permet de diagnostiquer facilement la présence de l'artère ombilicale unique et de déterminer le côté dans lequel l'artère ombilicale est manquante.

  • Artère ombilicale unique " AOU " - (single umbilical artery - SUA) :
    • Synonyme :
      Cordon à deux vaisseaux (Two vessel cord) ; absence d'une artère ombilicale (absent umbilical artery).

    • Définition :
      C'est l'absence congénitale d'une artère ombilicale dans le cordon,
      l'artère concernée peut être soit l'artère ombilicale droite (dans 30 % des cas), soit l'artère ombilicale gauche (dans 70 % des cas) ; donc le cordon ne contient que deux vaisseaux, une artère et une veine au lieu de contenir les deux artères ombilicales et la veine ombilicale.

    • Diagnostic :
      Le diagnostic échographique est possible par la réalisation d'une coupe transversale sur le cordon ; l'utilisation du Doppler couleur facilite ce diagnostic. Pour déterminer le côté de l'artère absente, il faut réaliser une coupe transversale au niveau de la vessie, sur cette coupe, le Doppler couleur met en évidence l'artère ombilicale manquante.

    • Fréquence :
      La fréquence de cette anomalie varie entre 0,7 à 1 % des naissances.
      Selon Woodward, l'artère ombilicale unique se voit dans 3 % des grossesses au premier trimestre, 1 à 2 % au troisième trimestre et 0,65 % à la naissance.

    • Pathologies associées :
      Les anomalies qui peuvent être associées à l'artère ombilicale unique sont :
      • le retard de croissance in utero qui peut apparaître dans 15 à 25 % des cas ;
      • Dans 20 à 25  % des cas, on peut observer la présence de malformations congénitales associées, il s'agit :
        • d'anomalies de l'appareil urinaire (comme l'agénésie rénale unilatérale) ;
        • anomalies de l'appareil circulatoire ;
        • anomalies de l'appareil digestif ;
        • anomalies du squelette ;
        • l'insertion vélamenteuse du cordon et les anomalies de la placentation ;
        • les grossesses gémellaires monozygotes avec anastomose artérielle placentaire et chez les jumeaux acardiaques (2/3 des acardiaques) ;
        • la sirénomélie
        • le diabète au cours de la grossesse ;
        • 50 % des anomalies chromosomiques fréquentes présentent cette anomalie et en particulier les trisomies 13 et 18.
          Si la fréquence de la présence d'une artère ombilicale unique est de l'ordre de 0,9 % dans la population à caryotype normal, elle de l'ordre de 1,8 % en cas de trisomie 21 ; il s'agit de données chiffrées discutables, pour cela l'artère ombilicale unique n'est pas un signe mineur de la trisomie 21 ; puis en la présence d'une artère ombilicale unique isolée, l'amniocentèse à la recherche d'anomalies chromosomiques n'est pas indiquée.


Auteur : Dr Aly Abbara
Mise à jour : le 19 Mars, 2023
  • Bibliographie
    • Bernard Guérin du Masgenêt, Yann Robert, Philippe Bourgeot, Philippe Coquel. Echographie en pratique obstétricale. Masson 2009.
    • FE RAZAVI, D CARLES - Société française de foetopathologie. " Pathologie fœtale et placentaire pratique ". Sauramps - 2008.
    • Woodward, Kennedy, Sohaey, Byrne, Oh, Puchalski. " Diagnostic Imaging - Obstetrics ". Amirsys - 2005. chapitre 11.
    • G. Grangé, Dépistage échographique des anomalies du caryotype - Dans "Traité d'Obstétrique" de Dominique Cabrol, Jean-Claude Pons, François Goffinet - Flammarion 2003 - p:298.
    • J.-Y. Gillet "Echographie des malformations fœtales" Vigot 1990.
    • E.Philippe, C. Charpin. " Pathologie gynécologique et obstétricale - Masson 1992 ; p:294