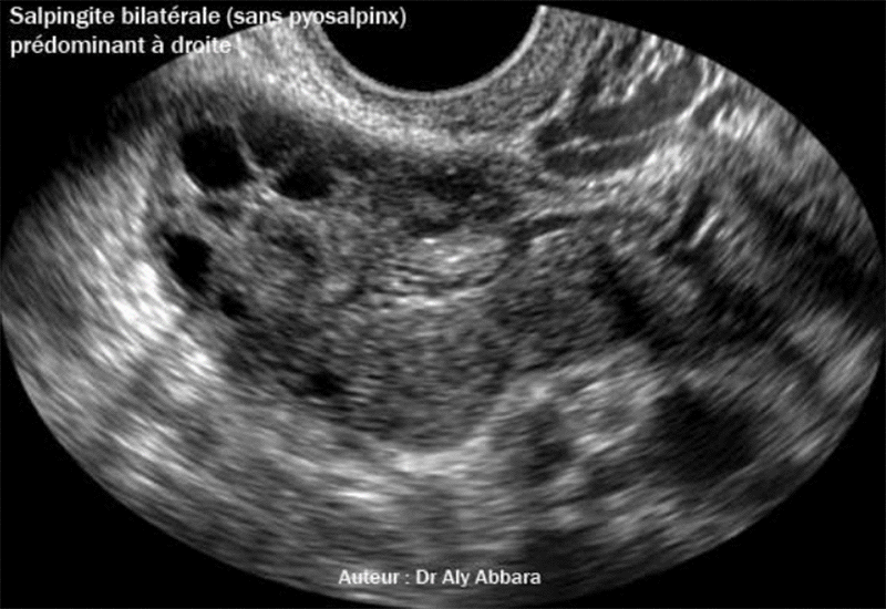
Infection génitale haute - Salpingite aigue bilatérale - Images échographiques

Image animée montrant un des aspects échographiques des trompes atteintes de salpingite aiguë bilatérale prédominant à droite et sans la formation d'abcès intra-tubaire (sans pyosalpinx).

Le diagnostic de salpingite aiguë a été confirmé suite à la réalisation d'une cœlioscopie exploratrice permettant la mise en évidence de la présence d'une trompe droite congestive, indurée, inflammatoire, triplée de diamètre et recouverte par de fausses membranes de formation récemment formées, puis une faible quantité d'épanchement péri-annexiel droit formé du pus. La trompe gauche présente les mêmes altérations constatées au niveau de la trompe droite, mais avec une moindre intensité.
L'appendice est intact.

A comparer avec une salpingite et pyosalpinx bilatéral.

Auteur : Dr Aly Abbara
Mise à jour : le 6 Décembre, 2020

aly-abbara.com
Paris / France