
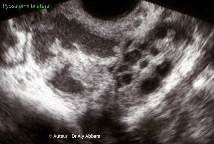
Image animée montrant un des aspects échographiques des trompes atteintes de salpingite aiguë bilatérale prédominant à droite avec la formation d'abcès intra-tubaire bilatéral (pyosalpinx). |
||||||
| Le diagnostic de salpingite aiguë a été confirmé suite à la réalisation d'une cœlioscopie exploratrice permettant la mise en évidence de la présence de deux trompes congestives, indurées, inflammatoires, enroulée et adhérant à la paroi pelvienne latérale homolatérale avec des extrémités distales obturées. La trompe droite et deux fois plus volumineuse que la trompe gauche, et chacune d'entre elle est le site d'une collection purulente occupant sa lumière tubaire (pyosalpinx). L'exploration de la région péri-hépatique montre la présence d'une péri-hépatite (ou syndrome de Fitz Hugh Curtis) se manifestant par la présence de nombreuses adhérences hépato-pariétales antérieures et hépato-diaphraqumatiques en cordes de violon. L'exploration bactériologique montre qu'il s'agit d'une infection génitale haute à chlamydia trachomatis. A comparer avec une salpingite sans pyosalpinx. |
||||||
Mise à jour : le 6 Décembre, 2020 Paris / France |
||||||