
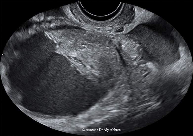
| Grossesse ectopique tubaire gauche sous forme d'amas trophoblastique au sein d'un petit épanchement péri-annexiel gauche. Évolution normale et habituelle du taux de hCG plasmatique (comme s'il s'agit d'une grossesse évolutive intra-utérine) : un dédoublement du taux de hCG plasmatique toutes les 48 heures (le taux au moment de la réalisation de cet examen échographique est 1420 UI/l) ; petit épanchement sanguin péri-tubaire gauche. Présence concomitante d'un kyste ovarien gauche d'allure fonctionnelle avec un contenu évoquant la présence d'une hémorragie intrakystique. |
| 24 heures plus tard : apparition au sein de l'amas trophoblastique d'une cavité
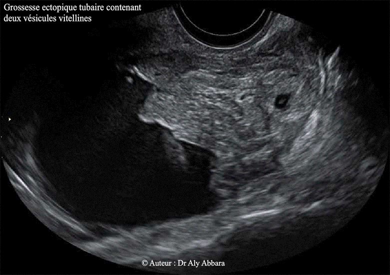
chorionique (cœlomique externe) contenant deux vésicules vitellines Taux de hCG plasmatique est de 1850 UI/l |
Ces images échographiques illustre un cas de grossesse extra-utérine tubaire gauche caractérisée par la présence d'un sac gestationnel formé d'une couronne trophoblastique entourant une cavité chorionique (cœlomique externe) contenant deux vésicules vitellines (vésicules ombilicales) ; donc il s'agit d'une grossesse ectopique tubaire, gémellaire débutante, monochoriale bi-amniotique. |
|||||||||||||
Concernant la grossesse ectopique gémellaire, je rapporte, à la demande de la patiente elle-même, ce cas rarissime : L'évolution ultérieure de la grossesse gémellaire intra-utérine fut marquée par la survenue d'une rupture spontanée et prématurée des membranes à 31,5 SA, avec la nécessité faire naître les deux jumelles (1400 et 1700 g) par césarienne. A douze ans, elles vont bien, sans aucun séquelle lié à la prématurité. |
|||||||||||||
| Auteur : Dr Aly Abbara Mise à jour : le 29 Novembre, 2020 |
|||||||||||||
|
|||||||||||||