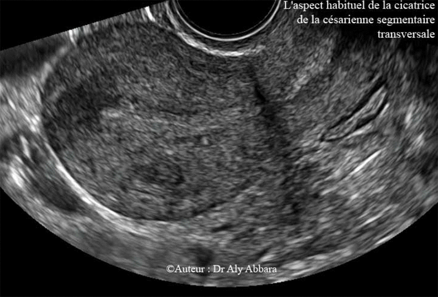
Utérus cicatriciel - L'aspect habituel de la cicatrice de la césarienne segmentaire transversal


  • Coupe sagittale de l'utérus - voie endovaginale.
    • L'aspect échographique habituel (par balayage de l'isthme utérin) de la cicatrice de la césarienne segmentaire transversale :

      • Une bandelette irrégulière hypoéchogène plus ou moins linéaire, traversant verticalement la paroi antérieure de la région isthmique de l'utérus ; puis dans certaines incidences, on peut observer l'apparition d'une cône d'ombre derrière cette bandelette cicatricielle.

  • Consulter ces articles sur

Auteur : Dr Aly Abbara
2 Décembre, 2020

Atlas d'échographie
Utérus


Site du Dr Aly Abbara
avicenne.info
mille-et-une-nuits.com