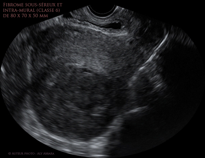
Myome utérin sous-séreux et intramural de classe 6 de FIGO (images échographiques)

Images échographiques animées montrant un fibrome utérin sous-séreux (< 50%) = classe 6 ; de 80 x 70 x 50 mm de diamètre (l'aspect per-opératoire )

Consulter : étude échographique de la vascularisation du fibrome


Auteur : Dr Aly Abbara
Mise à jour : le 19 Novembre, 2020

aly-abbara.com
Paris / France