Myome calcifié endocavitaire utérin




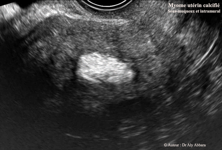
Images échographiques animées montrant un fibrome utérin calcifié, sous-muqueux et
intramural (> 50%) = classe 2 ; de 19.2 x 18.6 x 10 mm de diamètre (environ 2 cm3)



Auteur : Dr Aly Abbara
Mise à jour : le 22 Octobre, 2020

aly-abbara.com
Paris / France