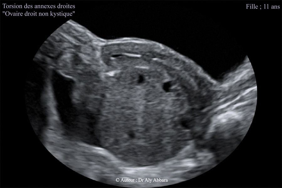
Torsion des annexes droites chez une fille de 11 ans - Aspect échographique de l'utérus et de l'ovaire droit

Images échographiques montrant une torsion des annexes utérines droites chez une fille de 11 ans (non encore réglée - pas de ménarche) - ovaire droit non kystique.

D'après le contexte clinique, il s'agit d'une torsion débutant 22 heures auparavant.

L'image échographique montre un ovaire droit augmenté de volume (73 cm3 contre 8 cm3 qui est le volume de l'ovaire gauche non tordu). On observe la présence des follicules antraux (de 2 à 5 mm de diamètre) dispersés au sein de cet ovaire et séparés par un stroma ovarien œdémateux et infiltré (cliniquement par le sang) et fort probablement nécrobiosé par une ischémie (silence Doppler couleur) due l'obturation mécanique des vaisseaux vascularisant normalement les annexes utérines (torsion de 720° à l'inverse des aiguilles de montre : du ligament utéro-ovarien ; du ligament large et du ligament lombo-ovarien droits).

La trompe droite qui individualisable sur cette image est augmentée de calibre ; infiltrée et ischémique (comme l'ovaire homolatéral).

Il existe aussi un petit épanchement pelvien, périannexiel droit (cliniquement : liquide péritonéal sanglant d'environ 100 cc de volume).

Consulter : évolution de l'aspect échographique à J0, J5, et J30 de cet ovaire droit détordu chirurgicalement et conservé.

Lire :
RPC (Recommandations pour la pratique clinique) - 37e JOURNÉES NATIONALES du CNGOF (Collège National des Gynécologue Obstétriciens Français) Paris, 2013

Auteur Dr Aly ABBARA
21 Novembre, 2020

Contacter Dr Aly ABBARA
  Paris / France