DIU au cuivre : déplacemet vers le canal endocervical sous l'effect des contractions utérines

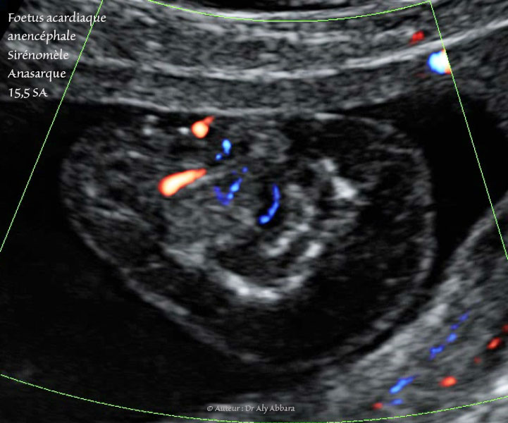
Grossesse gémellaire monochoriale bi-amniotique à 15,5 SA avec un jumeau polymalformé : vascularisation passive mise en évidence par (Doppler type Dynamic-Flow)

• Foetus acardiaque : pas structures cardiaques (holoacardius), mais la présence d'une vascularisation provenant de l'autre jumeau normal (jumeau pompe) par le cordon ombilical.

 Anencéphale (acrânie - acranius) : absence de structures céphaliques identifiables.

• Amélie des membres supérieurs (absence des deux extrémités supérieures)

• Sirénomélie : un seul membre inférieur comportant deux segments : supérieur avec un fémur, et inférieur contenant deux os longs, mais apodie (absence de pied). Ce membre inférieur est parfois animé par certains mouvements de type flexion - déflexion très réduites.

• Probable vessie (entourée par les deux artères ombilicales) ; une structure digestive liquidienne ; un segment désorganisé du rachis ; quelques côtes incomplètes.

• Un œdème fœtale généralisé sous-cutané majeur enveloppant ce fœtus acardiaque.

•  Un cordon ombilical bi-artériel communiquant au cordon ombilical du jumeau normal à la surface du placenta unique.

 L'estimation du poids de ce jumeau acardiaque est égale 7,7 grammes pour une longueur de 3,3 cm, contre 118 grammes + 10 % pour le jumeau pompe (donneur normal).

Pour plus d'informations sur l'acardie (acardia) cliquez ici


Auteur Dr Aly ABBARA
17 Octobre, 2016

Contacter Dr Aly ABBARA
  Paris / France