Annexes utérines droites - cystadénocarcinome séreux de haut grade de l'ovaire envahissant la trompe - images échographiques

Annexes utérines droites - cystadénocarcinome séreux de haut grade de l'ovaire envahissant la trompe - images cliniques macroscopiques

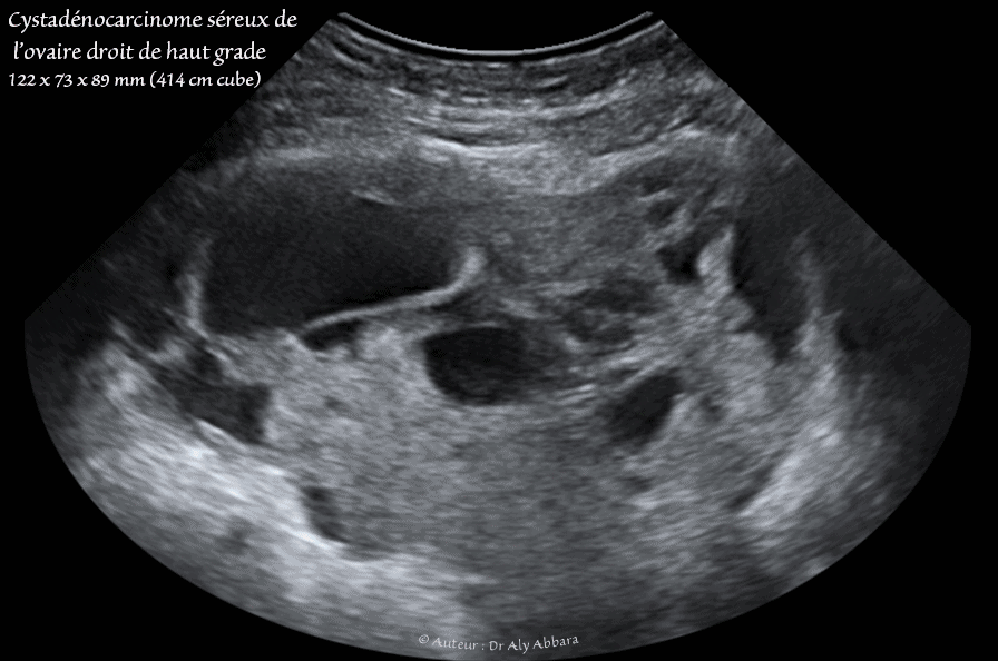
Images échographiques et cliniques animées montrant, chez une femme âgée de de 47 ans, une tumeur ovarienne droite, de type mixte, solide et kystique multiloculaire, de 122 x 73 x 89 mm de diamètre (414 cm3).

L'acte opératoire réalisé en urgence pour un tableau clinique fait évoquer, en plus de la présence de cette formation tumorale, le diagnostic d'une torsion de l'ovaire droit.

En per-opératoire, une torsion de cette tumeur ovarienne droite a été constatée ; pas d'ascite ; pas de végétations exophytiques ovariennes, mais elle a été observée la présence des implants tumoraux (exophytiques) sur la trompe droite et son pavillon. L'utérus et les annexes gauches sont sains et le reste de l'exploration de la cavité abdominale et sans particularité.

L'examen anatomopathologique conclut qu'il s'agit d'un cystadéno-carcinome séreux de l'ovaire droit, de haut grade, envahissant la trompe droite au niveau de son pavillon et sa paroi : il s'agit d'un envahissement partiel, de dehors en dedans. L'aspect histologique des ces implants est similaire à celui de la tumeur de l'ovaire (cellules tumorales très volumineuses, avec atypies cytonucléaires très marquées et des mitoses très nombreuses).

La cytologie du lavage péritonéal et les multiples biopsies sont négatives.

Voir également : Cystadénome ovarien bilatéral papillaire séreux à la limite de la malignité (borderline) - Échographie


Auteur Dr Aly ABBARA
9 Mars, 2019

Contacter Dr Aly ABBARA
  Paris / France