Insertion vélamenteuse (en parapluie) du cordon ombilical - grossesse de 22 SA


  • Vidéo échographique montrant une insertion vélamentesue du condon ombilical

    Placenta d'insertion fundique et insertion du cordon ombilical sur les membranes amniotiques au niveau de la paroi latérale droite du segment inférieur à proximité de l'orifice interne du col utérin.

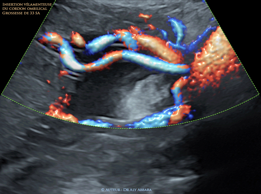
  • Grossesse de 33 SA

  • L'insertion vélamenteuse (ou en parapluie) ("1", "2", vue globale, vue partielle ; Echographie : insertion vélamenteuse du cordon ombilical vue échographique) :

    • L'insertion vélamenteuse du cordon se voit dans 1 % des grossesses.

    • Dans cette variété, l'insertion du cordon n'est pas sur le placenta, elle est sur les membranes libres , en dehors du placenta proprement dit et à plus de 2 cm du bord placentaire.
      • Anatomiquement, en cas de l'insertion vélamenteuse du cordon, les vaisseaux sanguins du cordon :

        • soit ils se ramifient sur les membranes, sous l'amnios ;
        • soit les deux artères et la veine ombilicales parcourent les membranes, sous l'amnios puis elles se ramifient au contact du placenta.

      • L'insertion vélamenteuse du cordon ombilical qui se situe au niveau du pôle inférieur de l'œuf peut donner naissance à des vaisseaux prævias (vasa praevia) ; ces vaisseaux peuvent être soit les vaisseaux du cordon (artères et veine ), soit leurs ramifications.

      • Une rupture accidentelle d'un de ces vaisseaux entraîne une hémorragie fœtale grave commue sous le nom d'hémorragie de Benckiser.

 

 Auteur : Dr Aly Abbara
Mise à jour : le 22 Décembre, 2018
 

aly-abbara.com
avicenne.info
mille-et-une-nuits.com
Paris / France