Kyste cytotrophoblastique itraparenchymateux (intraplacentaire) associé à la présence d'un hématome rétroplacentaire - grossesse de 12 SA et 3J



Hématome rétro-placentaire et rétro-cervical utérin en association avec la présence d'un kyste placentaire cytotrophoblastique intra-parenchymateux chez une femme enceinte de 12 SA et 3 J

  • Dans le cas présenté dans cet article, les images échographiques montrent la présence d'un décollement partiel du placenta aboutissant à la formation d'un hématome rétro-placentaire " HRP " (et rétro-cervical utérin) de 42 x 21 x 52 mm de diamètre (soit 24 cm3 de volume).

    Cet HRP se manifeste cliniquement par des métrorragies modérées depuis plusieurs semaines, mais la grossesse évolue normalement : foetus vivant et morphologiquement normal, avec longueur crânio-caudale "LCC" = 61,75 mm, et clarté nucale = 1,51 mm.

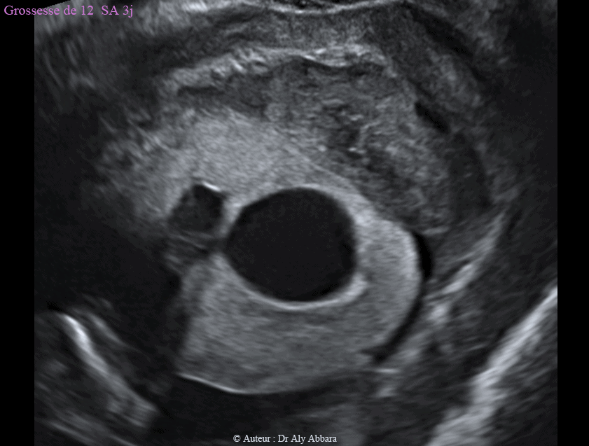
    Cet hématome rétroplacentaire (HRP) est en association avec la présence d'un kyste placentaire de type cytotrophoblastique intra-parenchymateux prenant l'aspect d'une formation kystique intra-placentaire, unique, uniloculaire, à contenu anéchogène et à paroi hyper-échogène, mais sans végétations endophytiques et sans zone d'épaississement.

    Ce kyste évolue dans le parenchyme placentaire, mais au niveau d'un de ses deux pôles, il atteint la face fœtale du placenta à un point correspondant à la zone de l'insertion du cordon ombilical.

    Le kyste mesure 26 x 21 x 23 mm de diamètre (soit 6,4 cm3 de volume).
 

Auteur Dr Aly ABBARA
2 Mai, 2016

Contacter Dr Aly ABBARA
  Paris / France