Kyste cytotrophoblastique intra-parenchymateux

Kyste cytotrophoblastique intra-parenchymateux


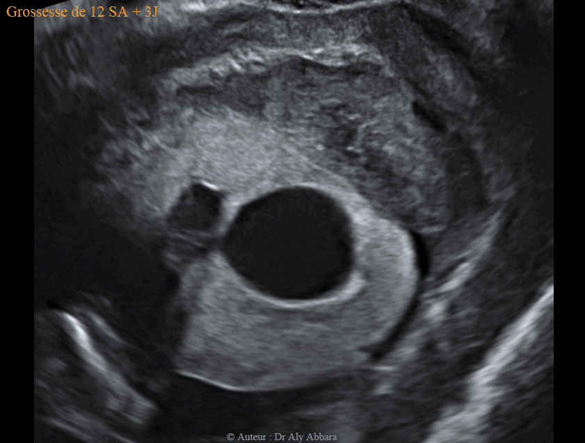
Kyste placentaire cytotrophoblastique intra-parenchymateux associé à la présence d'un hématome rétroplacentaire - grossesse de 12 SA et 3 J

Il existe deux types de kystes placentaires cytotrophoblastiques :

  1. Kystes cytotrophoblastiques sous-amniotique (ou intra-choriaux = kyste chorial = dans la plaque choriale) : formations liquidiennes à la surface de la face fœtale du placenta, entourée histologiquement de cellules cytotrophoblastiques. Le contenu de ces kystes est liquidien, mais il peut se compliquer d'hémorragie intrakystique ou d'un hématome sous-jacent (sous-kystique).

    • Les pseudokystes de la plaque choriale :
      Les hématomes qui se constituent sur la plaque choriale suite à la rupture d'un petit vaisseau sanguin décollent l'amnios ; puis avec le phénomène de lyse du caillot sanguin et l'appel liquidien vers le site lésionnel, on peut voir apparaître des formations pseudokystes sur la plaque choriale pouvant être confondues avec le kyste cytotrophoblastique sous-amniotique.

  2. Kystes cytotrophoblastiques intra-parenchymateux : généralement intraseptaux (à un point de départ initialement dans les septa intercotylédonnaires) et entourés histologiquement de cellules cytotrophoblastiques ; leur contenu est gélatineux, anéchgène ; ils sont peu nombreux, non pathologiques, mais parfois sont associés avec des retards de croissance intra-utérine de type vasculaire.
Dans le cas présenté dans cet article, le kyste placentaire intra-parenchymateux, cytotrophoblastique, prend la forme d'une formation intra-placentaire, unique, uniloculaire, à contenu anéchogène et à paroi hyper-échogène, mais sans végétations endophytiques et sans zone d'épaississement.

Ce kyste évolue dans le parenchyme placentaire, mais au niveau d'un de ses deux pôles, il atteint la face fœtale du placenta à un point correspondant à la zone de l'insertion du cordon ombilical.

Le kyste mesure 26 x 21 x 23 mm de diamètre (6,4 cm3 de volume).

Il a été mis en évidence à 12 SA et 3 jours ; il est en association avec un décollement partiel du placenta aboutissant à la formation d'un hématome rétro-placentaire (et rétro-cervical utérin) de 42 x 21 x 52 mm de diamètre (soit 24 cm3 de volume).
Cet HRP se manifeste cliniquement par des métrorragies modérées depuis plusieurs semaines, mais la grossesse évolue normalement : foetus vivant et morphologiquement normal, avec longueur crânio-caudale "LCC" = 61,75 mm, et clarté nucale = 1,51 mm.
 
  • Références :
    • Anne-Elodie Millischer, Jean-Philippe Bault, Pascale Sonigo, Laurent Salomon. " Imagerie du foetus au nouveau-né ". p:36. Lavoisier Médecine sciences. 2016.
    • Bernard Guérin du Masgenêt. " Échographie en pratique obstétricale ". p:170-171. Elsevier Masson. 5° édition 2014
    • SFFOET (Société Française de foetopathologie). "Pathologie fœtale & placentaire pratique". p:346. sauramps médical 2008.

Auteur Dr Aly ABBARA
5 Mars, 2017

Contacter Dr Aly ABBARA
  Paris / France