Kyste cytotrophoblastique intra-parenchymateux


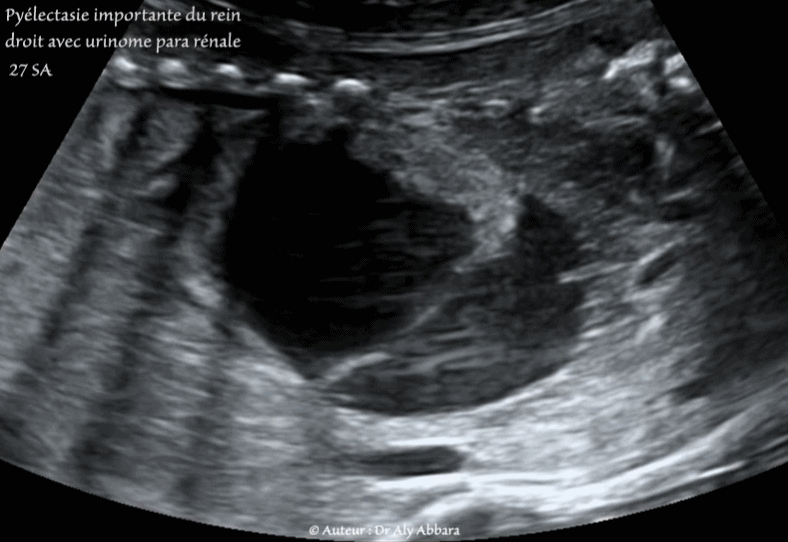
Vidéo et images échographiques (balayage droite-gauche) montrant une sévère pyélectasie unilatérale (à 34 mm) du rein droit compliquée par la lamination puis la rupture du cortex rénal à l'origine de la formation d'un urinome para-rénal.

Rein gauche et vessie normaux.

Grossesse de 27 SA ; foetus du sexe masculin.

Un mois plus tard, à 32 SA :

* La pyélectasie rénale droite évolue vers l’aggravation (à 51 x 44 x 46 mm) puis la rupture de l'urinome avec la constitution d'une importante ascite urinaire.

* Au niveau du rein gauche, l'échographie montre la présence d'un double système pyélocaliciel avec une pyélectasie modérée à 12 mm.

* La vessie est en réplétion avec parois vésicales épaissies (de 4 à 5 mm).

* L'étiologie qui est à l'origine de cette obstruction de l'arbre urinaire est une valve de l'urètre postérieur. Le diagnostic a été confirmé à la naissance et l'enfant a été opéré en urgence.

Urinome (urinoma) :
L'urinome est une collection d'urines prenant la forme d'un croissant liquidien hypo-échogène en périphérie du rein, parfois cloisonné ; il résulte de la rupture des voies excrétrices (rupture du fornix "voûte" d'un calice) secondaires à la surpression dans le système pyélocaliciel rénal, puis la fuite des urines dans la loge rénale rétropéritonéale bordant le rein.

Il s'agit d'une complication rare des uropathies obstructives ; c'est un mécanisme protecteur du rein car il permet de réduire la pression dans les cavités rénales et protéger provisoirement le parenchyme du rein.

Dans les pathologies obstructives sévères de l'arbre urinaire, l'urinome peut, sous l'effet de la surpression de fissurer le péritoine avoisinant pour laisser son contenu se vider dans de la cavité péritonéale entraînant la constitution d'une ascite urinaire.


Auteur Dr Aly ABBARA
30 Octobre, 2021

Contacter Dr Aly ABBARA
  Paris / France