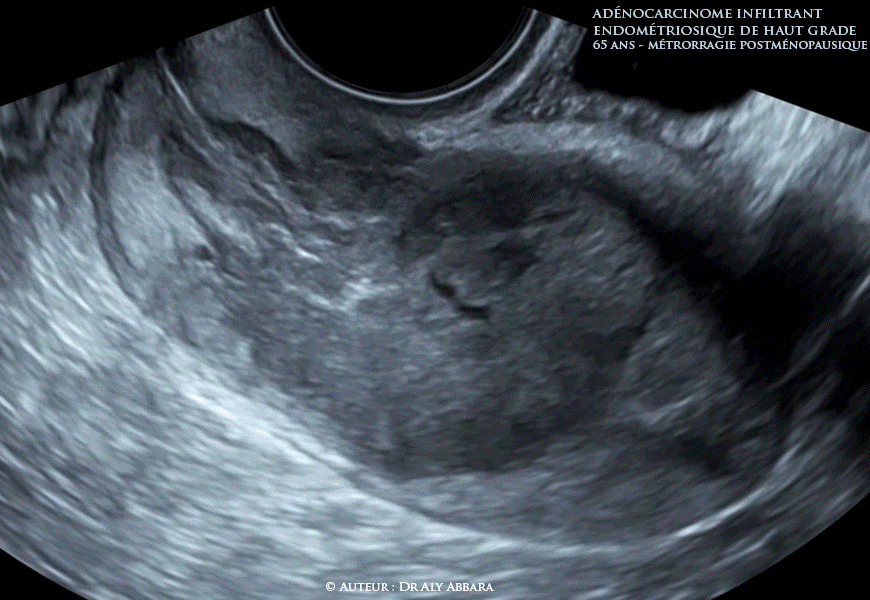
Utérus - Adénocarcinome endométroïde infiltrant de haut grade - Échographie

Utérus : un adénocarcinome endométroïde prenant l'aspect échographique d'une tumeur solide hypervascularisée de 46 x 29 x 30 mm de diamètres infiltrant plus 50% du myomètre sans dépasser la séreuse et étendue (échographiquement) vers le canal endocervical.

A l'IRM : pas d'adénopathie pelvienne ou lombo-aortique.

Biopsies de l'endomètre : il s'agit d'un adénocarcinome infiltrant endométriosique de haut grade.

TEP scan : hypermétabolisme intense, diffus d'allure tumorale du corps utérin dans son ensemble sans argument en faveur d'extension ganglionnaire locorégionale.

Analyse anatomopathologique des pièces opératoires (hystérectomie totale + annexectomie bilatérale + curage ganglionnaire pelvien et lombo-aortique) :

Adénocarcinome endométroïde de haut grade, infiltrant le myomètre sur plus de 50% de son épaisseur, sans extension à la séreuse ; absence d'extension à l'isthme, au col utérin et aux paramètres.
Présence d’emboles néoplasiques tumoraux.

Trompes et ovaires sans anomalie histologique significative.
Curage pelvien droit : 3N-, curage pelvien gauche : 4N- ; curage lombo-aortique : 7N-


• Il s'agit d'une patiente est âgée de 65 ans se plaignant depuis quelques semaines de métrorragies répétitives post-ménopausiques (non induites par un traitement hormonal substitutif).

Adénocarcinome endométroïde du corps utérin :
Référence : Marisa R. Nucci, Esther Oliva. Diagnostic Pathology Gynecological. AMIRSYS 2014. 3:134-143

Synonyme : carcinome endométroïde.
Il s'agit d'une tumeur maligne de l'endomètre.

Les lésions précurseurs : les hyperplasies endométriales avec atypies.

La forme polypoïde et la masse exophytique au sein de l'endomètre sont fréquentes ; la localisation première de la pathologie au niveau de l'endomètre postérieur est fréquente.

Incidence : 10 à 20 pour 100 000 femmes (dans les pays occidentaux).

Âge médiane : 60 ans ; il s'agit d'une tumeur endométriale de péri et postménopause.

Parfois asymptomatique, mais les manifestations les plus fréquentes sont les métrorragies péri et post-ménopausiques.

Les facteurs et étiologies favorisants son apparition : l'anovulation, oestrogénothérapie et l'obésité.
Certaines anomalies génétiques favorisent la survenue des adénocarcinomes endométroïdes comme l'instabilité microsatellite MSH6 (commune dans le syndrome de Lynch) ; les mutations PTEN (Cowden syndrome) et KRAS ; l'accumulation nucléaire de B-catenine et enfin les mutations type PAX2.


Auteur Dr Aly ABBARA
9 Mars, 2019

Contacter Dr Aly ABBARA
  Paris / France