Utérus - Polype endométrial - Adénocarcinome endométroïde - Échographie

Utérus : un adénocarcinome endométroïde prenant l'aspect échographique et hystéroscopique d'un polype endométrial :

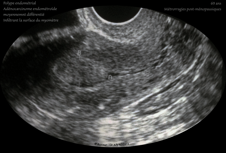
• Images échographiques montrant, sur une coupe sagittale transverse, la présence, au fond utérin, d'une formation polypoïde mesurant 24 x 12 x 23 mm (soit 3,5 cm3).

• La patiente est âgée de 69 ans et se plaignant depuis six mois, de métrorragies répétitives post-ménopausiques (non induites par un traitement hormonal substitutif).

• L’hystéroscopie diagnostique confirme la présence d'une tumeur endocavitaire utérine prenant la forme d'un polype à surface lisse et hémorragique, d'environ 25 mm de grand axe, évoluant à partir de la paroi antérieure du fond utérin. Il s'agissait d'une formation tissulaire friable d'où la nécessité de la réalisation de la polypectomie totale à l'aide de la curette fenêtrée. Par ailleurs, l'endomètre était atrophique

L'examen anatomopathologique :
Masse tissulaire composé de glandes tumorales bordées par des cellules de type endométrial, atypiques avec des mitoses.
Sur quelques copeaux, le myomètre est infiltré par la formation tumorale dans sa partie interne. Il existe de larges zones d'ulcération avec des dépôts de matériel fibrino-leucocytaire.

Conclusion : adénocarcinome de type endométroïde moyennement différencié de grade histologique II, infiltrant au moins la partie superficielle du myomètre.

Adénocarcinome endométroïde du corps utérin :
Référence : Marisa R. Nucci, Esther Oliva. Diagnostic Pathology Gynecological. AMIRSYS 2014. 3:134-143

Synonyme : carcinome endométroïde.
Il s'agit d'une tumeur maligne de l'endomètre.

Les lésions précurseurs : les hyperplasies endométriales avec atypies.

La forme polypoïde et la masse exophytique au sein de l'endomètre sont fréquentes ; la localisation première de la pathologie au niveau de l'endomètre postérieur est fréquente.

Incidence : 10 à 20 pour 100 000 femmes (dans les pays occidentaux).

Âge médiane : 60 ans ; il s'agit d'une tumeur endométriale de péri et postménopause.

Parfois asymptomatique, mais les manifestations les plus fréquentes sont les métrorragies péri et post-ménopausiques.

Les facteurs et étiologies favorisants son apparition : l'anovulation, oestrogénothérapie et l'obésité.

Certaines anomalies génétiques favorisent la survenue des adénocarcinomes endométroïdes comme l'instabilité microsatellite MSH6 (commune dans le syndrome de Lynch) ; les mutations PTEN (Cowden syndrome) et KRAS ; l'accumulation nucléaire de B-catenine et enfin les mutations type PAX2.


Auteur Dr Aly ABBARA
6 Mars, 2019

Contacter Dr Aly ABBARA
  Paris / France