DIU au cuivre : déplacemet vers le canal endocervical sous l'effect des contractions utérines

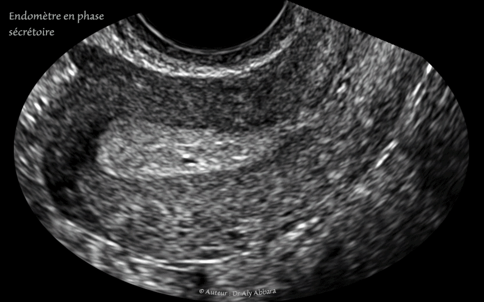
Utérus : l'aspect échographique habituel de l'endomètre de la phase sécrétoire (la phase estro-progestative de la deuxième moitié du cycle menstruel) :
Echographie réalisée au 25e jour du cycle menstruel - endomètre de 10 mm d'épaisseur.

Échographiquement, on observe entre le myomètre et la cavité utérine les couches successives suivantes :

  • 1- Un très fin liseré anéchogène (discontinu sur l'image) correspondant à la zone de jonction entre le myomètre et la couche basale de l'endomètre.

  • 2- un endomètre très échogène et homogène avec l’identification, sur certaines coupes, de micro-kystes correspondant aux glandes endométriales dilatées par leurs activités sécrétoires.

  • 3- La ligne de la vacuité utérine prenant l'aspect d'un liseré axial hyper-échogène, voire deux liserés séparés par les sécrétions glandulaires endométriales.

Dans cette phase sécrétoire on ne voit pas l'image échographique de l'endomètre en trois feuillets caractéristique de la phase proliférative parce que, échgraphiquement, la couche basale profonde (la couche génératrice) et les couches moyenne et superficielle ont la même échogénicité.


Auteur Dr Aly ABBARA
3 Janvier, 2019

Contacter Dr Aly ABBARA
  Paris / France