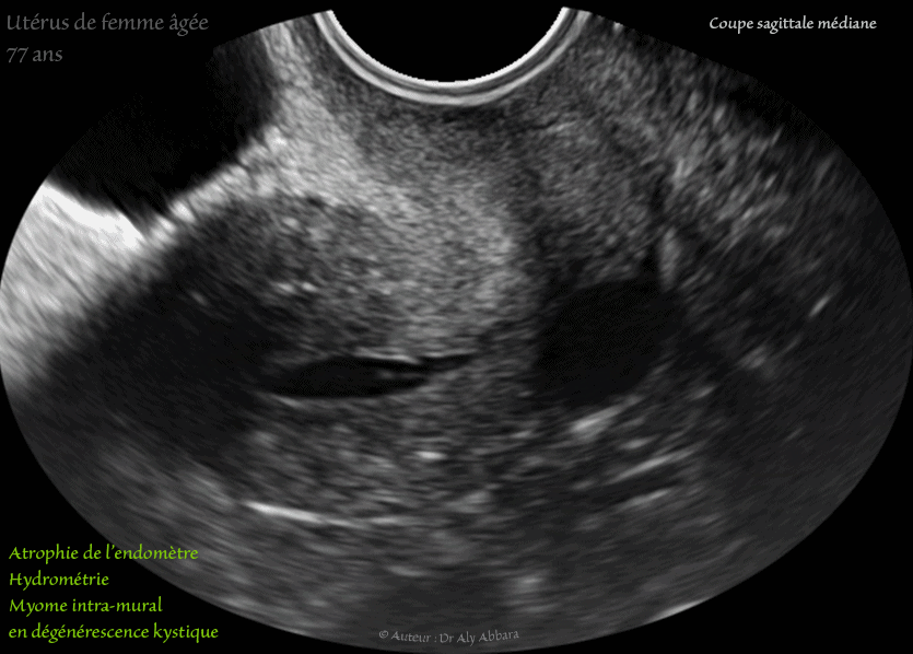
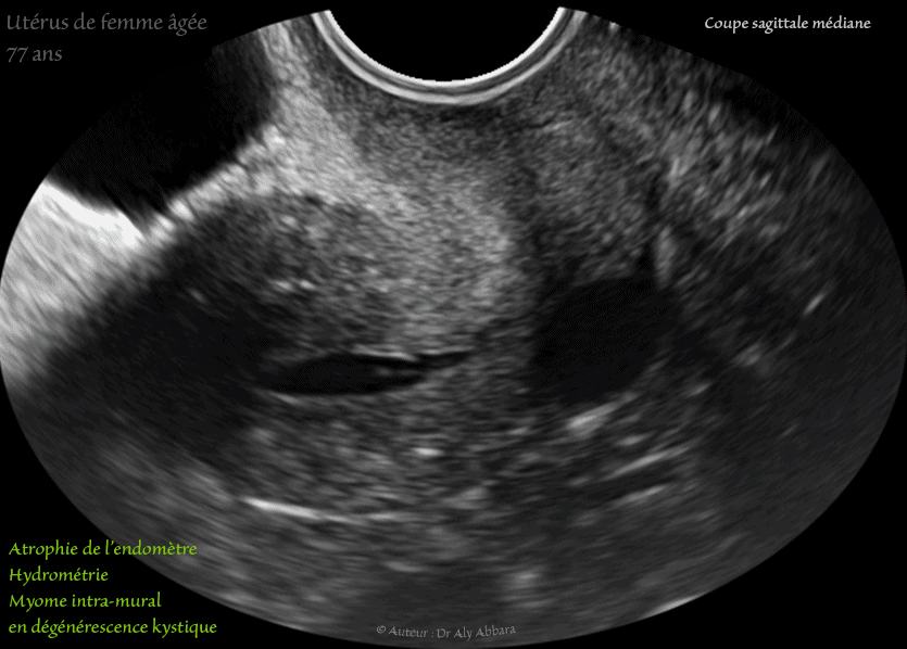
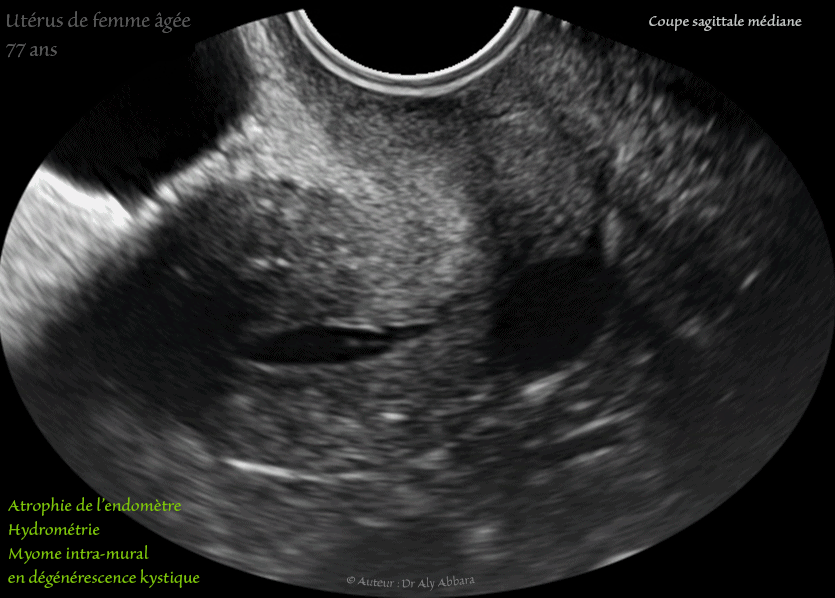
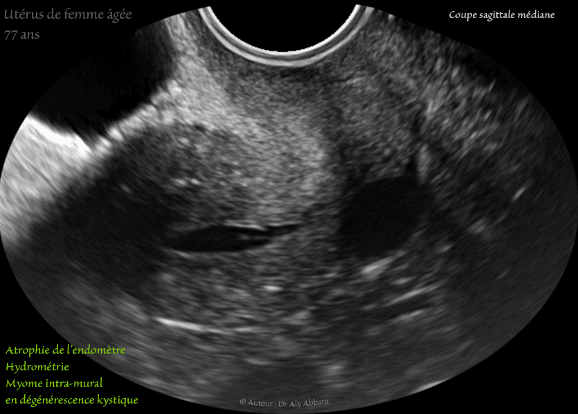
Utérus d'une femme âgée de 77 ans - hydrométrie - atrophie de l'endomètre - myome en dégénérescence kystique

Utérus d'une femme âgée de 77 ans - hydrométrie - atrophie de l'endomètre

Utérus d'une femme âgée de 77 ans - hydrométrie

Utérus d'une femme âgée de 77 ans - myome en dégénérescence kystique

Images échographiques animées montrant l'utérus d'une femme âgée de de 77 ans, avec plusieurs éléments anatomiques liés au vieillissement (sénilité)

I- Hydrométrie :
Il s'agit d'une rétention des sécrétions endométriales dans la cavité utérine liée à la sténose, voire l'obstruction totale du canal cervical.

II- Atrophie de l'endomètre :
Elle est la conséquence de l'effondrement du taux des estrogènes par l'inactivité de la fonction hormonale ovarienne.

III- Myome utérin intramural type 4 (de classification FIGO) en dégénérescence kystique

رحم إمرأة مسنة بعمر 77 سنة : نلاحظ وجود ضمور بطانة الرحم بسبب القصور الهرموني المبيضي المرتبط بالعمر ؛ اِنحباس مائي رحمي بسبب التضيق الشديد للقناة العنقية الرحمية - اِنتكاس كيسي لورم ليفي


Auteur Dr Aly ABBARA
4 Février, 2016

Contacter Dr Aly ABBARA
  Paris / France