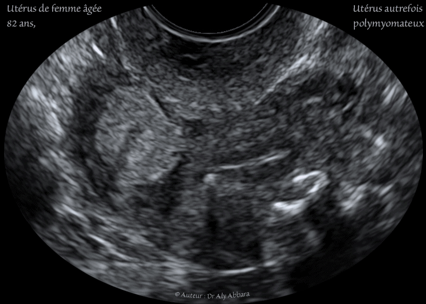
Utérus - femme de 82 ans - atrophie de l'endomètre - myomes involués - رحم إمرأة مسنة - ضمور بطانة الرحم - أورام ليفية ضامرة

Images échographiques animées montrant l'utérus d'une femme âgée de de 82 ans, avec plusieurs petits myomes utérins involués, calcifiés, intra-muraux, puis une atrophie de l'endomètre liée à l'effondrement du taux des estrogènes par l'inactivité de la fonction hormonale ovarienne.

رحم إمرأة مسنة بعمر 82 سنة : نلاحظ وجود ضمور بطانة الرحم بسبب القصور الهرموني المبيضي المرتبط بالعمر ؛ وجود أورامٍ ليفية رحمية متعددة وضامرة

Auteur Dr Aly ABBARA
4 Février, 2016

Contacter Dr Aly ABBARA
  Paris / France