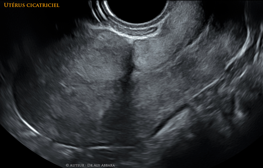
Isthmocèle


  • Séquence vidéo et image animée montrant l'aspect habituel de la cicatrice de l'hystérotomie segmentaire transversale réalisée lors des césariennes : cicatrice linéaire antéro-postérieure (sur la coupe sagittale de l'utérus) ne comportant pas de niche liée à la désunion partielle ou totale des berges de la cicatrice.

  • A comparer à l'aspect de cette cicatrice quand elle est compliquée d'une isthmocèle c’est-à-dire d'une déhiscence secondaire à un défaut de cicatrisation.



Auteur Dr Aly ABBARA
6 Novembre, 2020

Contacter Dr Aly ABBARA
  Paris / France