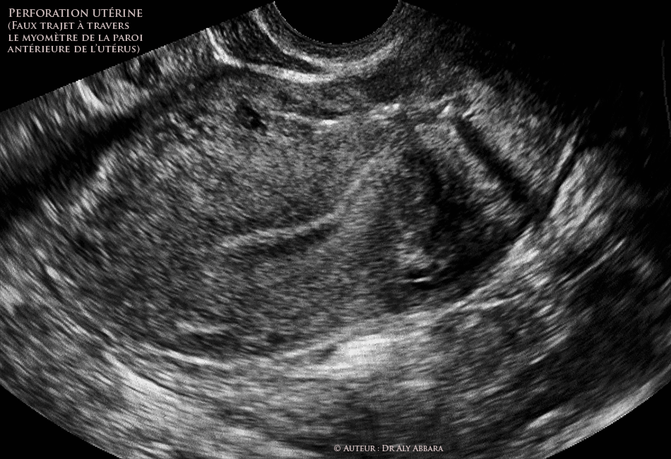
Perforation utérine lors d'une IVG chirurgicale sur utérus malformé, bichorne et bicicatriciel (antcédent de 2 césariennes)

  • Utérus : perforation utérine (lors d'une interruption chirurgicale de grossesse) survenant sur un utérus malformé, bicorne unicervical et bicicatriciel (antécédent de 2 césariennes).

    La grossesse évoluait dans dans la corne droite de l'utérus et la perforation utérine a eu lieu à travers la paroi antérieure de sa corne gauche ; l'opérateur décrivait une importante difficulté à reconnaître chirurgicalement la corne droite de celle de la gauche.

  • Le faux trajet se situe dans le myomètre antérieur, à partir de l'isthme de l'utérus jusqu'à son fond (l'extrémité distale de la bougie de Hegar a traversé le fond pour se trouvée libre dans la cavité péritonéale).

  • Il s'agit d'un diagnostic per-opératoire : le faux trajet à travers le myomètre antérieur est identifiable à l'échographique grâce à son aspect linéaire hyper-échogène ; cette typer-échogènécité était visible lors de l'échographie réalisée au cours de l'acte opératoire, mais elle n'était plus observable lors du contrôle échographique effectué deux heures plus tard.


Auteur Dr Aly ABBARA
23 Décembre, 2018

Contacter Dr Aly ABBARA
  Paris / France