DIU au cuivre : déplacemet vers le canal endocervical sous l'effect des contractions utérines

Polype endométrial  - hyperplasie glandulaire avec des atypies cytologique focales

Utérus : Polype endométrial de structure hyperplasique glandulaire simple et complexe avec un foyer d'atypies cytologiques nucléaires :

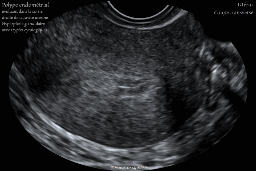
• Images échographiques montrant (sur une coupe frontale, puis des coupes para-sagittale droite et transverse) la présence au fond utérin, dans la corne droite, la présence d'une formation polypoïde mesurant 14 x 9 x 8,4 mm (soit 0,6 cm3).

L'endomètre lors de la réalisation de cette échographie était en phase proliférative (11° jour du cycle menstruel).
La ligne de vacuité utérine présente une solution de continuité au niveau du site de l'insertion du polype endométrial qui paraît comme une formation ovoïde plus échogène que l'endomètre juxtaposé.

• La patiente est âgée de 48 ans, se plaignant depuis 4 mois, de métrorragies intermittentes.

• L’hystéroscopie diagnostique confirme la présence d'un polype endocavitaire pédiculé d'environ 15 mm de grand axe, inséré sur la paroi antérieure du fond utérin, dans sa partie cornéale droite ; il s'agit d'un polype de consistance muqueuse, à surface lisse, non ulcérée. Par ailleurs l'endomètre est d'aspect normal, sans particularité.

L'examen anatomopathologique :
En surface de ce polype, l'épithélium est de type endométrial régulier, avec des secteurs axiaux d'hyperplasie glandulaire simple et d'hyperplasie glandulaire complexe, puis focalement des cellules atypiques avec des noyaux globuleux d'aspect clair avec une anisocaryose et l'apparition d'un petit nucléole.

L'endomètre est en phase sécrétoire avec des gouttelettes de mucosécrétion bien visibles à la partie basale des glandes. Le chorion renferme des artères spiralées. Il n'est retrouvé de caractère atypique ni architecturale ni cytologique

Conclusion : polype endométrial avec hyperplasie glandulaire d'architecture variable (hyperplasie simple et complexe) avec un secteur focal d'atypies cytologiques.
Endomètre en phase sécrétoire normale.


Auteur Dr Aly ABBARA
19 Juin, 2018

Contacter Dr Aly ABBARA
  Paris / France