| L'activité cardiaque d'un embryon mesurant
(1,5) mm de longueur crânio-caudale et âgé de de 20 et 23 jours selon les Horizons (stades) de G.L. Streeter (1942- 1948)( ou 5 SA à 5 SA et 2 jours) Il s'agit presque, le premier jour de l'apparition de l'activité cardiaque chez l'embryon Embryologiquement les battements cardiaques apparaissent au environ du 21e jour de gestation (5 SA). |
|---|
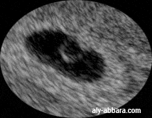
| L'image
montre :
|
le sac gestationnel entouré par le tissu trophoblastique
; on peut distinguer les vaisseaux sanguins parcourant le plan de
l'insertion du tissu trophoblastique sur l'endomètre ;
l'embryon avec la vésicule vitelline ; ils sont situés au niveau
du pôle supérieur de la cavité cœlomique ;
l'activité cardiaque embryonnaire.
|
|---|