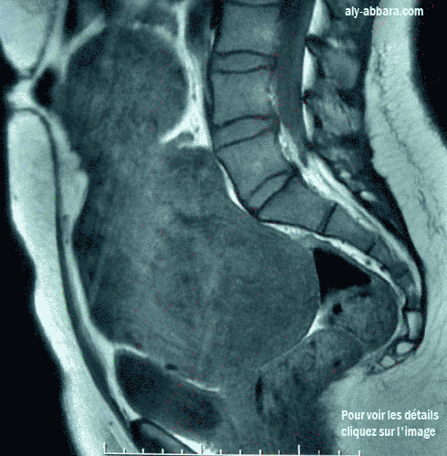
Utérus polymyomateux très volumineux

IRM (Imagerie par résonance magnétique)
Coupe sagittale médiane de la moitié inférieure de la cavité abdominale
Utérus polymyomateux occupant la totalité du petit pelvis et dépassant l'ombilic de quelques cm
(il a la taille d'un utérus gravide de 26 à 28 semaines d'aménorrhée)
Il est à l'origine de douleurs abdomino-pelviennes et de métrorragie

Atlas d'échographie
www.aly-abbara.com
Paris / France

MAJ : 11 Avril, 2023