
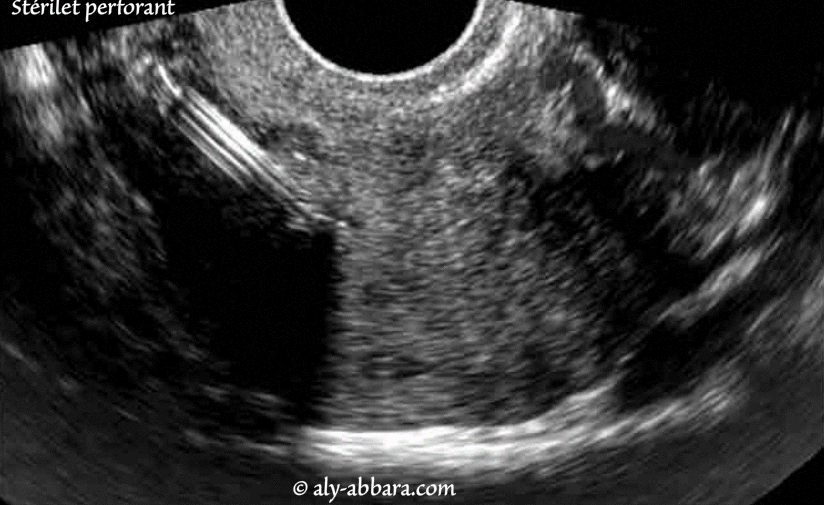
| Stérilet perforant (faux trajet) |
||||
Dispositif intra-utérin de type hormonal (DIU) perforant la paroi latéral droite de l'utérus au niveau de la région supra-isthmique et atteignant le paramètre utérin droit.
Il s'agit d'une perforation utérine par le dispositif intra-utérin survenant lors de son insertion. Il s'agissait d'une pose difficile en raison de la latérodéviation du corps de l'utérus vers la gauche. Cette complication fut découverte, 48 heures après la pose du stérilet, lors d'un contrôle échographique systématique devant les difficultés rencontrées lors son insertion et les doutes sur éventuel faux trajet, mais il est bien à savoir que cliniquement, la patiente ne se plaignait d'aucune douleur ou métrorragie inhabituelles. Le retrait du dispositif intra-utérin a été réalisé sans incident. |
||||
Paris / France MAJ : 14 Avril, 2023 |
||||