Myome sous muqueux classe 0 de FIGO

Myome sous muqueux pédiculé (classe 0 de FIGO)

 
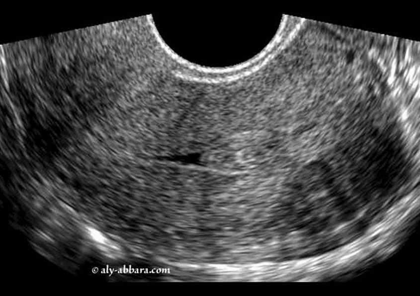
Fibrome endocavitaire, sous muqueux pédiculé (classe 0 de FIGO) du fond de l'utérus
Utérus rétroversé, rétrofléchi
"Imagerie comparée."

Images montrant un fibrome utérin endocavitaire, sous muqueux pédiculé (classe 0 de FIGO) de 14 x 12,3 x 7 mm de diamètre, soit 0,63 cm3.
Il s'agit d'images permettant de comparer l'aspect échographique à l'aspect anatomique hystéroscopique avec grossissement ; puis l'image qui suit immédiatement montre l'aspect hystéroscopique du fond la cavité utérine, et en particulier, le site d'insertion du pédicule de ce fibrome déjà sectionné par myomectomie hystéroscopique à l'aide de l'anse de résection mono-polaire.

Auteur : Dr Aly Abbara
Mise à jour : 14 Avril, 2023


Atlas d'échographie
www.aly-abbara.com
Paris / France