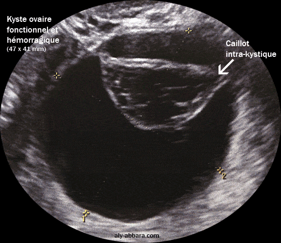
Kyste de l'ovaire droit fonctionnel compliqué d'une hémorragie intrakystique
Il s'agit d'un kyste ovarien droit, uniloculaire, à paroi fine, sans
végétations endophytiques ni exophytiques
; il mesure 47 x 41 mm de diamètre, il disparaît complètement après deux mois d'utilisation d'une
pilule
contraceptive œstroprogestative
à 30 µg d'éthinyl estradiol.
Auteur : Dr Aly Abbara
Mise à jour : 15 Avril, 2023
Atlas d'échographie
www.aly-abbara.com
Paris / France