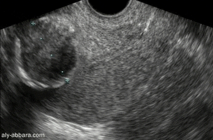
Fibrome utérin intra-mural calcifié
de 35 x 25 mm de diamètre
Coupe sagittale de l'utérus par voie endovaginale
On peut distinguer sur cette image
échographique les dépôts du calcium
sur la surface du fibrome qui prennent un aspect dense hyperéchogène
