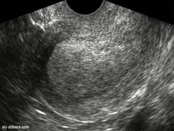
Hyperplasie de l'endomètre chez une patiente atteinte
d'une dystrophie ovarienne

Endomètre de 35 mm d'épaisseur




Page d'accueil
Atlas d'échographie
Contacter Dr Aly Abbara


www.aly-abbara.com

Paris / France
MAJ : 28 Avril, 2023