Fibrome polypoïde endocervical accouché par l'orifice externe du col utérin - ورم ليفي عنفي رحمي


Fibrome polypoïde endocervical accouché par l'orifice externe du col utérin - ورم ليفي عنفي رحمي

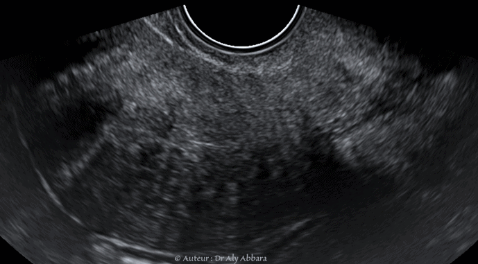
Images échographiques et cliniques animée montrant un myome endocervical polypoïde accouché par l'orifice externe du col utérin de 30 x 24 x 13 mm de diamètre.

Il s'agit d'images pré-opératoires ; per-opératoires (après la myomectomie) puis un mois après l'ablation chirurgicale de ce myome.

Voir également l'aspect clinique de ce myome endocervical.

Ce fibrome est à l'origine de métrorragies post-coïtales (traumatiques).

ورم ليفي نامٍ داخل قناة عنق الرحم وظاهر بشكلٍ جزئيٍ على مستوى الفوهة الظاهرة لهذا العنق

الصور السريرية المعروضة تم إلتقاطها قبل، أثناء وبعد العمل الجراحي

هذا الورم الليفي العنقي كان السبب لنزوف رحمية نسائية بعد الجماع


Auteur : Dr Aly Abbara
Mise à jour : le 25 Septembre, 2015

     
  aly-abbara.com
avicenne.info
mille-et-une-nuits.com
Paris / France