Utérus - Adénomyose florissante - images échographiques

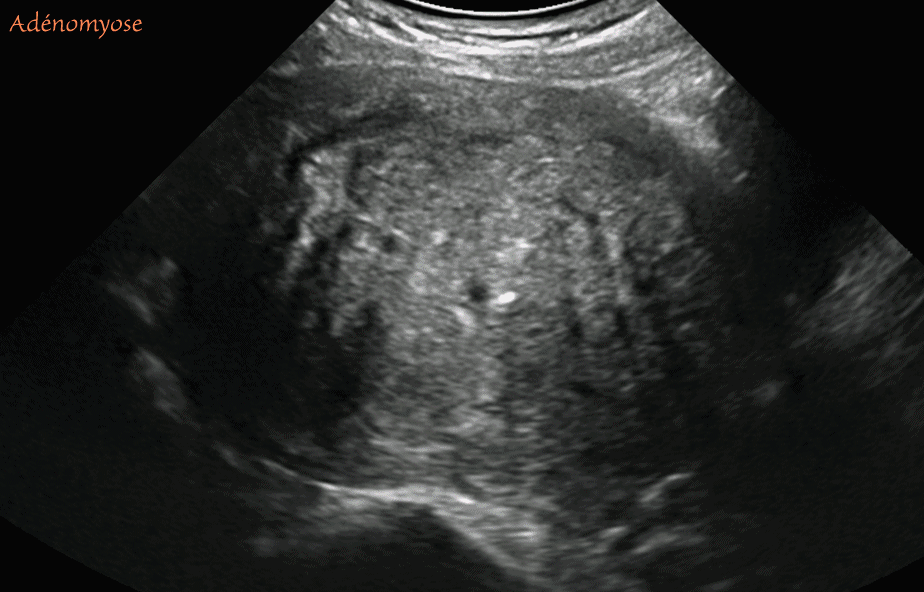
Images montrant l'un des aspects échographiques de l'adénomyose



  • Image clinique de la pièce opératoire d'un utérus atteint d'une adénomyose touchant l'ensemble ses parois antérieure et postérieure, avec la présence accessoirement, d'un petit myome sous séreux postérieur (au niveau de la région isthmique de l'utérus) de 40 mm de grand axe.

    Il s'agit d'un utérus pesant 800 g avec un grand axe de 15 cm.

  • Histologiquement :
    • Adénomyose : fibrose diffuse dans toute l’épaisseur de la paroi, sans limites identifiables. Au sein de cette fibrose on retrouve des micro-vaisseaux sanguins et de très nombreuses cryptes de glandes endométriales pénétrant en profondeur dans le myomètre ; certaines contiennent du vieux sang noirâtre chocolaté.

    • Fibrome se présente comme une zone composée de fibres lisses formant une lésion bien limitée en périphérie (plan de clivage), et répartient, au sein du fibrome, de façon presque circulaire ; aucune circulation sanguine ou de cryptes glandulaires sont identifiables au sein de ce fibrome.

  • Cliniquement, cette patiente souffrait d'une dysménorrhée sévère et de méno-métrorragies importantes à l'origine d'une anémie chronique ferriprive sévère autour de 8 g/dl d'hémoglobine.

    Un curetage biopsique et hémostatique montrait la présence d'un endomètre dyshormonal sans dysplasie.
  • On note l'échec des traitements médicaux à la base de progestatifs.


 
Auteur : Dr Aly Abbara
Mise à jour : le 25 Février, 2017

aly-abbara.com
avicenne.info
mille-et-une-nuits.com
Paris / France